难点:门静脉海绵样变性的病因,先天性门静脉发育异常可能;呕血并发症的治疗措施。
患者,男性,22岁,于2010-02-19入院。
(一)主诉
反复呕血、黑便16年。
(二)现病史
患者16年前出现呕血、黑便,当地医院诊断为食管静脉曲张,脾大,予输血、抑酸、补液等治疗。14年前因呕血在外院行脾切除术;术后患者仍有呕血、黑便间断发作。5年前因呕血、黑便行胃镜下食管静脉曲张硬化治疗;4天前患者再次解柏油样便,量约100g,无呕血,无头昏、心慌,无腹痛、腹胀。2天前突然呕血,量约30ml。今天再次呕血4次,每次量约100ml,夹杂少许黑色血块。急查血常规示WBC 7.2×109/L、Hb 55g/L、PLT 398×109/L。以消化道出血收入消化科。
(三)既往史
否认肝炎、结核病史,无疫水接触史。
(四)查体
T:36.5℃,P:90/分,R:20次/分,BP:98/57mmHg。神清,精神委靡。贫血貌,全身皮肤、巩膜无黄染,未见瘀斑,无肝掌、蜘蛛痣,全身浅表淋巴结未及肿大。双肺呼吸音清,未闻干、湿啰音,心界无增大,心率90次/分,律齐,各瓣膜听诊区未闻病理性杂音。腹平软,左肋下可见一长约7cm的纵行手术瘢痕,全腹无压痛及反跳痛,肝脾肋下未及,移动性浊音阴性,双下肢无水肿。
(五)辅助检查
血常规示:WBC 9.3×109/L、RBC 2.64×1012/L、Hb 71g/L、PLT 343×109/L。尿常规:正常。入院后1周粪常规正常。生化全项、肝炎病毒、巨细胞病毒DNA:未见异常。
心电图示窦性心律。胸片未见异常。双肾彩超:未见异常。
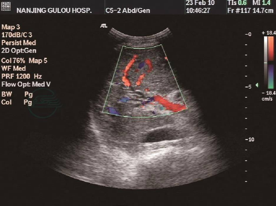
血管超声:门静脉直径0.91cm,主干及左右支的近段内透声好,管壁增厚,CDFI示为肝性单向血流,多普勒频谱示血流速度33.2~21.5cm/s。门静脉左右支的远段及小分支正常结构消失,呈扭曲的条索样结构(图1,图2),诊断门静脉发育异常。CDFI:静脉频谱,血流流速减慢。下腔静脉彩色血流多普勒检查:未见异常。
胃镜:食管静脉曲张,重度;无胃底静脉曲张。

图1 腹部超声显示CDFI为肝性单向血流

图2 门静脉右支的远段及小分支正常结构消失,呈扭曲的条索样结构
1.入院诊断
上消化道出血,门脉高压症,脾切除术后。
2.入院后上级医生查房分析
①患者为青年男性,因呕血、黑便2天入院,有反复呕血、黑便病史16年;14年前行脾切除术;②辅助检查:胃镜示食管静脉曲张。目前考虑门脉高压所致的食管静脉破裂出血;需要鉴别门脉高压的病因:①肝前性门脉高压:如门静脉血栓形成,由于患者有脾切除病史,出现术后门脉血栓可能性大;其次为特发性门脉高压,一般由门静脉纤维化所致,可行上腹部CT平扫+增强+门静脉三维重建以明确;②肝性门脉高压:一般有肝炎病史或大量饮酒史,代谢性疾病病史,该患者幼年时得病,否认肝炎病史,亦无饮酒史,不考虑肝性门脉高压;③肝后性门脉高压:由布-加综合征、缩窄性心包炎、心衰等疾病引起,患者下腔静脉、肝静脉等检查均未见栓塞改变,亦无心衰、心包炎等临床表现。综上所述,该患者肝前性门脉高压可能性大。予以上腹部CT平扫+增强+门静脉三维重建,目前治疗以抑酸、止血、输血、支持治疗,并完善相关检查。
3.上腹部CT平扫+增强+门静脉三维成像
胃小弯见迂曲紊乱的血管影,门静脉分支增多,门静脉高压伴侧支循环形成,肝内胆管轻度扩张;两侧胸腔积液;脾切除术后。
4.为明确诊断及下一步诊疗计划,行科内讨论
(1)甲医生
患者6岁时即出现门静脉高压的表现,且无血吸虫病、无慢性肝炎、肝硬化病史;彩超示:门静脉左右支及小分支正常结构消失,呈扭曲的条索样结构,门静脉血流速度减慢,下腔静脉、肝静脉未见异常。因此考虑为门静脉病变导致的肝前性门脉高压。
(2)乙医生
同意上述意见,患者6岁时即出现门静脉高压,B超诊断门静脉发育异常。因此考虑为先天性的门脉畸形,其中最常见的是门静脉海绵样变性。门静脉海绵样变性是指肝门部或肝内门静脉分支慢性、部分性或完全性阻塞后,导致门静脉血流受阻,引起门静脉压力增高,由于门静脉高压,使得门静脉周围形成侧支循环或阻塞后再通。患者可表现为反复呕血和黑便,伴有轻-中度的脾大,脾功能亢进,此类患者肝功能好,故很少出现腹水、黄疸,肝性脑病,目前考虑上消化道出血原因为门静脉海绵样变性所致的门静脉高压所致。控制出血的治疗方法建议:①外科分流术;②TIPS分流术。
(3)丙医生
同意以上两位医生观点,补充两点:①患者2次胃镜均提示食管静脉曲张,而无胃底静脉曲张表现,其原因考虑为当初脾切除时,已同时切除了胃左静脉及胃短静脉,故未见胃底静脉曲张;②TIPS术分流治疗问题:患者血小板值较高,原因为脾切后失去了生理性吞噬作用,使得血小板增高;由于血小板值较高,一旦完成TIPS支架置入后,支架堵塞的可能性增加;另外TIPS术中风险也较大,因门静脉主干适合穿刺的部位在肝门部,而患者此处分支小血管较多,穿刺造成出血风险较大,这些是行TIPS术需要考虑的问题。
外科会诊意见:认为患者有手术指征,遂转外科手术治疗。拟定手术为联合断流+肝活检术。术中探查:腹腔内有少量淡黄色腹水,探查肝脏无异常,脾脏缺如,腹腔粘连严重,松解粘连的肠管,见门静脉交通分支直径约1.0cm,奇静脉轻度扩张,腹壁侧支静脉曲张,腹内脏器正常,腹膜后交通支开放,门静脉血管重度扩张,游离门静脉压力(FPP)43.5cmH2O。分别离断胃底和食管交通支血管,胃支约8支,直径0.4~0.5cm,食管支约6支,直径0.3~0.4cm,高位食管支2支,直径0.3cm。保留门、奇静脉交通支血管,切开胃前壁置入管状吻合器,于食管下段约4cm处横断食管、吻合,阻断了食管壁内曲张静脉;闭合器闭合胃前壁,术后测FPP 37cmH2O。
5.肝脏穿刺术及病理活检
送检肝组织肝小叶结构正常,枯否细胞轻度增生,汇管区无明显炎症细胞和纤维化改变。特殊染色:铁染色(-),PAS和PSAD(-)。Masson染色肝脏正常。
6.术后
患者恢复良好出院。