难点:掌握原发性胆汁性肝硬化的诊断依据,这个病例的治疗困难。
患者,女,48岁,于2006-06-18入院。
(一)主诉
反复皮肤瘙痒2年余,身黄、眼黄20余天
(二)现病史
2年前出现皮肤瘙痒,曾在多家医院皮肤科就诊,给予激素、中药等治疗,用药时症状曾有缓解,但停药后加重,且瘙痒症状有逐渐加重趋势。20多天前出现身黄、眼黄、尿黄,无腹痛、发热,无白陶土样大便。外院肝功能ALT 59U/L,AST 55U/L,TB 71.9μmol/L,DB 46.6μmol/L,γ-GT 379U/L,透明质酸293.6μg/L,PCⅢ263.9μg/L;B超:肝实质光点较密,分布均匀;MRCP未见异常。为明确诊断收住消化科。
(三)既往史
否认肝炎、结核病史,否认饮酒史。
(四)查体
T:36.5℃,P:75次/分,R:18次/分,BP:130/75mmHg。神清,营养中等,皮肤、巩膜黄染,未及肿大浅表淋巴结。心、肺查体未见异常,腹平软,未见腹壁静脉曲张,腹无压痛及反跳痛,肝脾肋下未触及,Murphy征阴性,肝肾区无叩击痛,移动性浊音阴性,肠鸣音正常。
(五)辅助检查
血常规:WBC 10.7×109/L,N 79%,Hb 135g/L,PLT 153×109/L。尿常规及粪常规正常。生化检查:ALT 136.7U/L,AST 132.4U/L,ALP 318.0U/L,γ-GT 914.1U/L,LDH 301U/L,TB 42.4μmol/L,DB 29.9μmol/L,A 37.5g/L,总胆汁酸211.7μmol/L,TG 3.62mmol/L,TC 9.39mmol/L,LDL-C 4.65mmol/L,其他正常。
凝血指标:PT 8.9s↓,其他正常。ESR、CRP:正常。乙型肝炎病毒相关抗原抗体:HB-sAb(+),余阴性。自身抗体:抗核抗体HEP2/猴肝核膜阴性。
免疫指标:IgG 7.3g/L,IgM 2.6g/L,IgA、补体C3及补体C4均正常。肿瘤标记物:CA125 65.8U/ml,CA199 43.87U/ml,AFP、CEA正常。
抗线粒体抗体阴性。
B超:慢性肝损害,胆囊息肉,门静脉正常。
1.入院诊断
皮肤瘙痒、黄疸原因待查?
2.上级医生查房
患者以皮肤瘙痒起病,后出现身黄、眼黄及尿黄,直接胆红素、胆汁酸升高为主,MRCP未见胆系结石、梗阻迹象,可排除肝外梗阻性黄疸,考虑肝内胆汁淤积症。引发该症有药物性、酒精性、病毒性及自身免疫性等因素;该患者无药物、酒精服用史,且肝炎病毒检查及乙肝病毒定量均为阴性,故不考虑上述因素,为明确诊断建议肝穿。
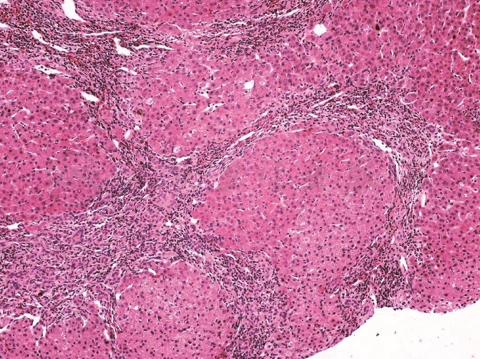
入院后第9天行肝穿刺术,病理示:肝组织结构正常,肝实质内见轻度胆汁淤积,结节性肝硬化(图1),汇管区见大量慢性炎症细胞浸润,并可见肉芽肿形成,胆管减少;免疫组化:肝细胞表达HBsAg(-),HBeAg(-)。CK19(+),胆管增生(图2)。

图1 结节性肝硬化,汇管区见多量慢性炎症细胞浸润(HE,100)

图2 CK19阳性,胆管增生(100)倍
3.为明确诊断及下一步治疗
行科内讨论,意见如下:
(1)甲医生
该患者病程较长,特点为皮肤瘙痒2年后出现黄疸,肝功能检查ALP、γ-GT明显升高,特别是γ-GT超过正常值的24倍,并表现胆固醇升高的高脂血症,考虑原发性胆汁性肝硬化可能。但抗线粒抗体(AMA)阴性,这点不支持原发性胆汁性肝硬化诊断。
(2)乙医生
患者中年女性,以瘙痒为主,伴黄疸,ALP、γ-GT升高且进展快;肝脾不大,MRCP未见肝内外胆管扩张,临床征象支持原发性胆汁性肝硬化;肝穿刺病理检查肝实质轻度胆汁淤积、结节性肝硬化,汇管区见大量慢性炎症细胞浸润,并可见肉芽肿形成,胆管减少,病理检查亦支持PBC的诊断。
(3)丙医生
该患者抗线粒体抗体(AMA)阴性,大多数原发性胆汁性肝硬化患者AMA阳性,但是有10%~20%的原发性胆汁性肝硬化患者AMA阴性,建议再抽血查AMA、并查抗平滑肌抗体、抗微粒体抗体等检查以求确诊依据。另需除外慢性肝炎所致胆汁淤积可能,查HBV-DNA定量及乙肝两对半滴度;目前诊断上倾向于原发性胆汁性肝硬化。
4.复查
抗线粒体抗体(AMA)弱阳性,抗平滑肌抗体阴性,肝组织免疫组化CK19(+),结果支持胆汁性肝硬化的诊断。复查乙肝相关指标HBV-DNA定量<1000copy/ml,不支持乙肝病毒所致病变。
5.治疗
诊断明确后予熊去氧胆酸500mg/d、泼尼松30mg/d治疗,2周后复查生化示:ALT 250.1U/L,AST 134.1U/L,ALP 306.0U/L,γ-GT 1229U/L,TB 34.5μmol/L,DB 18.2μmol/L,TG 3.03mmol/L,TC 10.20mmol/L,结果表明激素治疗后肝功能无好转,减量激素,加用吗替麦考酚酯(1.0bid),症状稳定后出院继续治疗。
6.1年后随访情况
患者后来在上海某医院诊治,该院亦倾向原发性胆汁性肝硬化的诊断;曾服用过硫唑嘌呤,现服用熊去氧胆酸(最初500mg/d,后1000mg/d+泼尼松龙(初20~25mg/d,现10mg/d)。近日复查肝功能,仅γ-GT轻度升高,其他各项指标均正常。