【疾病概述】
胰腺结核是一种少见疾病,是胰腺慢性特异性感染性疾病,该病常继发于身体其他部位的结核。近年来,随着结核病发病率的升高,有关胰腺结核的报道也有所增加。由于人们对胰腺结核认识的不足,而且胰腺结核的临床表现和影像学方面缺乏特异性,很容易误诊成胰腺肿瘤。由于大多数胰腺结核经过抗结核治疗可以治愈,而误诊为胰腺癌则不可避免要接受手术治疗,故认识此疾病很重要。胰腺结核确切病因不是很清楚,但是免疫缺陷病毒感染或使用免疫抑制剂可能是其中一个病因。当然,也有一些关于未使用免疫抑制剂而感染胰腺结核的报道。很多时候胰腺结核无法术前诊断清楚,需要经内镜活检或者超声、CT定位经皮穿刺活检,高度怀疑恶性肿瘤时需要手术探查。位于胰头的结核,无法确切诊断时,需要行胰头十二指肠切除治疗,如术后病理证实胰腺结核,则需要行系统抗结核治疗。
【病例介绍】
病史
男性患者,34岁。因为腹胀和体重减轻来我院就诊。既往没有咳嗽、发热、盗汗病史,未曾使用免疫抑制剂或去过疫区。
体格检查
T 36.5℃,P 76 次/min,BP 135/85mmHg,R 17 次/min,全身皮肤及巩膜无黄染,双肺听诊音清,腹部平坦,腹软,右上腹轻度压痛,未触及腹部包块,肠鸣音3 次/min。
辅助检查
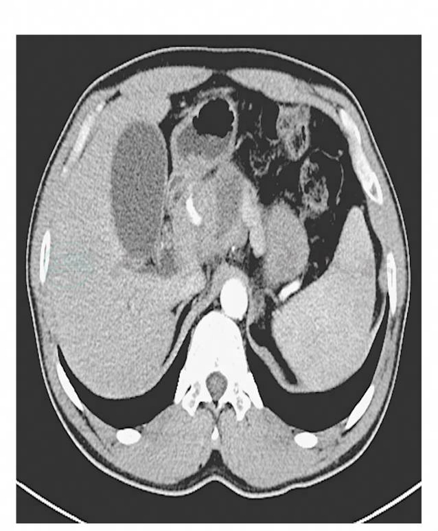
血清总胆红素2.3mg/dl(正常值0.2~1.2mg/dl),结合胆红素1.6mg/dl(正常值0~0.5mg/dl),γ-谷氨酰胺转肽酶1194.1U/L(正常值9~64U/L),肿瘤标记物CA19-9和CEA正常,血常规及血淀粉酶正常。胸片未发现肺内异常,腹部CT发现胰颈附近6.4cm×3.8cm肿物,形状不规则,内部局灶低密度改变,增强后未见明显强化。胆囊略增大,肝内胆管可见扩张(图1)。
图1 腹部CT示胰颈肿物,形状不规则,增强后未见明显强化
入院诊断
胰腺占位,胰腺癌不除外。
1.向患者家属交待病情,目前高度怀疑胰腺恶性肿瘤,需要手术治疗明确肿物性质,即使是良性肿瘤,由于位置特殊,已经压迫胆总管末端造成胆道梗阻,仍然需要手术切除肿物解除梗阻。
2.行剖腹探查术,术中发现肿物较硬,位于胰颈偏胰头侧,侵袭腹腔干,与门静脉及下腔静脉或腹主动脉之间无浸润,行胰十二指肠切除术,具体方法如下:开腹探查,切除标本横断胰颈时,在胰腺组织内找到主胰管,将一剪有侧孔,长40cm,粗细适宜的硅胶管置入主胰管2~4cm作为胰液引流管,用6-0无损伤线U字缝合主胰管及附近胰腺组织1针以固定好该胰液引流管,缝线暂不剪断。切除整个标本并清除区域的淋巴组织,按Child方法行消化道重建。距断端空肠10cm处行胰肠端侧吻合,将拟定吻合部位的空肠对系膜缘浆肌层与胰腺断面的背侧用1号丝线间断缝合5~7针,使两者贴紧,在与主胰管对应的空肠处戳一小孔仅可通过胰液引流管,将胰液引流管置入空肠远端,继续用上述6-0无损伤线在空肠侧小孔穿入,于远离该孔的肠管侧壁分别穿出,收紧该缝线使胰管断端及胰液引流管经空肠小孔进入肠腔内,进一步U字缝合空肠小孔,使之完全密闭,至此后壁吻合结束,随后以相同方法完成胰肠吻合口的前壁一层缝合。术中送冷冻病理,证实胰腺结核。术中胰肠吻合方法采用胰肠单层吻合,术后未发生胰瘘。
3.术后常规抗感染、补液、抑酸、抑制胰酶等治疗,定期测定腹腔引流液淀粉酶,给予适当冲洗引流管,保持其通畅。术后7天查腹腔彩超,无腹腔积液,拔出腹腔引流管。
4.术后2周出院,按照结核病医院抗结核治疗方案继续治疗1年,痊愈,随访2年,状况良好。



