【疾病概述】
十二指肠憩室是十二指肠肠壁上向外的袋状突出,相当常见,是消化道的常见病。查阅钡餐X线的资料,发现1%~2%的人有十二指肠憩室;据尸检资料,发生率为22%。消化内镜的发现率为3%~9%。60%~70%憩室发生在十二指肠降部内侧且多在乳头旁,约20%在横部,10%在上升部,发生在十二指肠首部者少见。大部分为单发憩室,约10%~15%有两个以上憩室,好发于50岁以上人群,国外报道以女性为多,绝大多数十二指肠憩室没有任何症状,仅在手术、内镜检查或尸检时偶然发现。憩室本身也没有特殊的体征。近年来随着内镜技术的普及,发现率有增高的趋势。其基本成因为十二指肠壁局限性肌层缺损,一般认为长期肠腔内压增高是促成憩室出现的直接诱因。憩室内壁可能附有异位的胃黏膜或胰腺组织,在内容物滞留的情况下,容易发生急性或慢性憩室炎,因而可能发生穿孔和出血。十二指肠憩室出现症状者不足10%,多为上腹不适或疼痛,可有恶心、嗳气、饱食后加重,空腹时较轻,服抗痉挛药物或改变体位时常可缓解。如患者仅有临床症状而无其他病变,可采用内科疗法。一部分病人症状可因之而减轻或得到控制,不需手术治疗。但一些特殊位置的憩室:如十二指肠乳头旁憩室,憩室开口于十二指肠乳头旁,其体部位于胆总管上、下或后方,以及胆胰管开口于憩室内,因此发生反复发作的胆胰管疾患———胰胆管综合征,出现黄疸、胆管炎和胰腺炎或憩室引起的严重并发症即需要手术治疗。目前有学者认为即使无症状的十二指肠憩室也需手术治疗,其原因是十二指肠憩室虽然症状不严重但其严重的并发症常危及患者的生命。十二指肠憩室可能生长腺癌或肉瘤,治愈憩室可预防或减少胆胰疾病和癌变的发病率。
【病例介绍】
病史
女性患者,81岁。因右上腹阵发性绞痛一周,加重18小时于某中医院就诊,该医院行急诊彩超检查,提示:“胆囊结石,胆总管结石”,给予“舒胆片”口服治疗,无明显好转,遂转入我院急诊科。我院急诊行上腹部CT平扫检查示:胆囊结石,慢性胆囊炎,肝内外胆管略扩张,胆总管末端结石不排除,双肾囊肿。给予禁食、抗感染、补液、抑酸等对症治疗,同时为进一步诊治收住我科。患者疼痛时可向右肩背部放散,病来无胸闷、心悸,无恶心、呕吐,食欲差,进食较前减少,二便色、量正常,近期无体重下降。既往史:否认肝炎、结核史,否认高血压,否认糖尿病病史,否认手术及外伤史。自述心脏病病史1年(具体不详),脑血栓病史1年。青霉素过敏。
体格检查
T37.0℃,P80次/分,BP101/60mmHg,R18次/分。神志清,应答准确,急性面容,皮肤、巩膜无黄染。全腹平坦,未见胃肠型及蠕动波,肝、脾肋下未扪及,右上腹部压痛(+),无反跳痛及肌紧张,Murphy征(+)。肝、肾区无叩痛,听诊肠鸣音正常,约4次/分。
辅助检查
血常规:白细胞3.2×109/L,中性粒细胞百分比79.5%,血红蛋白110g/L;肝功能:白蛋白31.8g/L,总蛋白60.6g/L,总胆红素14.5μmol/L,非结合胆红素9.9μmol/L,谷丙转氨酶(ALT)531.0U/L,谷草转氨酶(AST)850.0U/L;血、尿淀粉酶,血清离子等未见异常。CT平扫:胆囊结石,慢性胆囊炎,肝内外胆管略扩张,胆总管末端结石不排除,双肾囊肿。
入院诊断
1.胆总管下段结石?
2.慢性结石性胆囊炎
3.冠心病
4.脑血栓
5.双肾囊肿
1.收入病房后予禁食水、抗感染、补液、保肝、抑酸、心电监护等对症治疗。密切观察病情。同时完善磁共振胆胰管成像(MRCP)以进一步明确诊断。完善心电图、心脏彩超、胸正侧DR、肺功能及其他常规生化检查,以进一步评估患者心肺功能、营养状态。
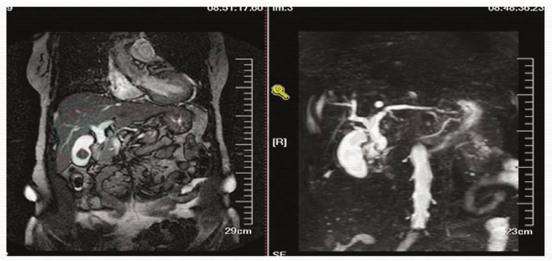
2.患者经上述治疗后,腹痛频率及程度逐渐减轻,体温波动在36.5~36.8℃之间,复查血常规正常,ALT及AST逐渐下降,胆红素正常,白蛋白28.8g/L,总蛋白58.2g/L。MRCP检查提示:肝内胆管、肝总管、胆总管扩张,胆囊增大,内可见结石,胆总管末端见约5mm不规整低信号影(结石?占位?),少量腹水(图1)。给予继续上述治疗同时,为纠正低蛋白血症,给予静脉营养。并拟完善ERCP以进一步明确诊断及同时行内镜下括约肌切开取石(EST)治疗。
图1 磁共振检查示胆囊结石,胆总管末端不规整低信号影
3.患者行十二指肠镜检查:进镜至十二指肠,见乳头位于水平段起始部憩室内,开口肿胀,游离度极大,选择性胆管插管困难,反复尝试均失败,术终(图2)。不能进一步行内镜下逆行胆胰管造影(ERCP)检查。遂请介入科会诊,会诊意见:目前患者无发热、黄疸,肝内胆管扩张不明显,没有经皮肝穿刺胆管引流的适应证。
图2 十二指肠镜示憩室内乳头,选择性胆管插管失败
患者科内会诊后,补充诊断:十二指肠憩室内乳头。查房意见:患者目前病情基本平稳,无经皮肝穿刺胆管引流的适应证,继续原治疗,嘱患者进少量温水,密切观察有无不适,继续观察病情变化。
4.患者经继续对症治疗后,腹痛消失,无发热,进全流食物后,无不适主诉,二便正常。查体:生命体征平稳,心、肺听诊未见异常,腹软,无压痛及反跳痛。向家属交代目前病情,家属考虑患者高龄,不同意进一步积极手术治疗,于入院13日后出院。
5.患者于出院后第三日再次出现右上腹痛阵发性绞痛,不能自行缓解,正常排便,遂急诊再次入院。入院后查体:T37.2℃,P88次/分。皮肤、巩膜轻度黄染。全腹平坦,上腹及右上腹明显压痛,无反跳痛,无肌紧张。肠鸣音约4次/分。辅助检查:急诊彩超提示:肝内胆管普遍扩张,较宽处>1.0cm,胆总管扩张,较宽处约2.0cm,末段可见范围约1.2cm×0.7cm低回声团,其内可见多个强回声点,较大者直径约0.3cm,后方伴不典型声影,胆囊增大,壁厚约0.3cm,囊内见1.9cm强回声,声影(+),移动(+)。胰腺大小正常,轮廓清晰,主胰管全程扩张,较宽处约0.5cm;血常规:白细胞9.1×109/L,中性粒细胞百分比86.7%,血红蛋白105g/L;尿淀粉酶4012U/L,血淀粉酶1652.6U/L,血脂肪酶5225.4U/L;肝功能:白蛋白37.8g/L,总蛋白78.0g/L,总胆红素21.2μmol/L,非结合胆红素19.7μmol/L,ALT78.0U/L,AST128.0U/L;肾功、血清离子等未见异常。诊断为:慢性胆囊炎,胆囊结石,胆源性胰腺炎,十二指肠憩室内乳头,胆总管结石?
6.向家属交待病情后,同意行急诊手术,术中见右上腹腔内有淡黄色渗出液约100ml,胆囊胀大、壁水肿,表面渗出,约8cm×6cm×2cm。胆总管明显增粗,直径约2.5cm,十二指肠憩室未扪及。行胆囊切除后探查胆道,于胆道末段取出少量泥沙样结石后可顺利进入十二指肠,行T管引流术,远端胃部分切除,胃空肠结肠前吻合术,胰腺被膜松解术。术后病理提示:慢性胆囊炎,胆囊结石,慢性浅表性胃炎。患者术后给予抗感染、抑酸、抑酶、肠内外营养等对症治疗,恢复顺利,于术后十五日出院,术后一个月拔除“T”管引流,术后定期复查,进食及二便正常,无不适主诉。



