胃淋巴瘤(gastric lymphoma)主要是指胃黏膜相关组织的淋巴瘤。淋巴瘤起源于淋巴结和淋巴组织,是免疫系统的恶性肿瘤。按照组织病理学分型分为霍奇金病(Hodgkin disease,HD)和非霍奇金淋巴瘤(non-Hodgkin lymphoma,NHL)两大类。淋巴结外的淋巴组织发生淋巴瘤最多见于胃肠道,侵及部位以小肠最多,其次为胃,结肠很少受累。文献报道,绝大多数胃恶性淋巴瘤均为B细胞来源,主要病理类型包括黏膜相关淋巴组织结外边缘区B细胞淋巴瘤(MALT淋巴瘤)、弥漫大B细胞淋巴瘤。另外还有滤泡性淋巴瘤、T细胞淋巴瘤等少见病理类型。根据WHO分类,低度恶性淋巴瘤组织学类型绝大多数为MALT淋巴瘤。侵袭性淋巴瘤主要为弥漫大B细胞淋巴瘤及弥漫大B淋巴瘤合并MALT淋巴瘤。
【病例介绍】
病史
女性患者,66岁。以“胃区返酸不适3年,加重伴疼痛20天”为主诉入院。患者3年前无明显诱因出现胃区返酸不适。曾多次于我院门诊就诊,并行胃镜检查诊断为“胃溃疡性病变”,服处方药物治疗(具体药物及剂量不详),症状略减轻。近1个月来腹部不适加重。再次就诊于我院门诊,行胃镜检查并取病理诊断“胃溃疡性病变,局灶腺体重度非典型增生,疑恶变”,并收入我科。病来饮食欠佳,睡眠可,体重无明显减轻。
体格检查
发育正常,营养中等,步入病房,全身皮肤、黏膜无黄染及出血点,全身浅表淋巴结未触及肿大,腹平坦,腹式呼吸存在,肝、脾肋下未触及,上腹深压痛,无反跳痛及肌紧张,未触及包块。Murphy征阴性,无移动性浊音,肠鸣音4次/min。
辅助检查
胃镜及病理:胃溃疡性病变(图1,图2)。
图1 胃镜检查示胃溃疡性病变(一)
图2 胃镜检查示胃溃疡性病变(二)
活检结果:局灶腺体重度非典型增生,疑恶变(图3)。
图3 活检病理提示局灶腺体重度非典型增生,疑恶变
入院诊断
1.胃溃疡性病变
2.食管平滑肌瘤
1.患者入院后给予肠道准备,术前流质饮食,给予肠道细菌抑制药物。
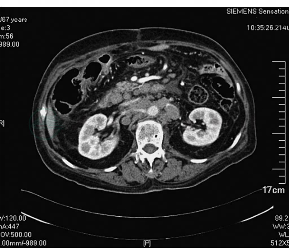
2.患者入院后完善血常规、血生化、凝血功能、便常规及肿瘤标志物等相关术前检查均未见明显异常。行全腹增强CT检查回报:胃窦部后下壁病变并表面溃疡,考虑胃癌可能性大,腹膜后淋巴结肿大,考虑转移(图4~图7)。
图4 术前CT提示胃窦溃疡性病变,腹膜后淋巴结肿大(一)
图5 术前CT提示胃窦溃疡性病变,腹膜后淋巴结肿大(二)
图6 术前CT提示胃窦溃疡性病变,腹膜后淋巴结肿大(三)
图7 术前CT提示胃窦溃疡性病变,腹膜后淋巴结肿大(四)
3.完善相关术前检查及术前准备后,于全麻下行手术治疗。术中见病变位于胃体后部,呈外生型,表面粗糙,并侵及食管及肠系膜根部,腹腔内多发淋巴结肿大,肝十二指肠韧带内可见较多肿大淋巴结,并侵及肝固有动脉,逐步清扫至腹主动脉旁淋巴结,并行全胃切除,食管空肠结肠前Roux-Y吻合术。留置胃管及空肠营养管。文氏孔、肝下及盆腔分别留置引流管一枚,术中失血约1500ml,输红细胞悬液(CRCS)7.6U,血浆800ml。患者安返病房。
4.术后给予患者监护、吸氧等对症处置,给予患者抗感染、补液等对症治疗。术后第3天起给予患者肠内营养,患者轻度腹胀,未出现呕吐、腹泻等症状。术后第7天拔除胃管,经口给予患者流食及半流食,患者进食无异常,未出现吻合口瘘及十二指肠残端瘘等并发症。术后第11天拔除腹腔各引流管,患者痊愈出院。
5.出院前患者血常规及血生化化验单回报 血常规:血红蛋白94g/L;肝功能:总蛋白59.5g/L,白蛋白34.0g/L。病理回报:胃非霍奇金弥漫大B细胞性淋巴瘤(间变型,考虑生发中心外起源)(图8) ;双断端,大网未见癌组织;累及小弯、第8、12、16组淋巴结(3/4,4/4,1/1,2/2);大弯侧淋巴结未受累及(0/2)。
图8 病理回报为非霍奇金弥漫大B细胞性淋巴瘤
6.患者出院后一个月后为行化疗入我院血液科,患者一个月来偶感上腹胀,无腹痛、腹泻。饮食较差,常伴头晕,无头痛,存在双下肢水肿。体重减轻约10kg。复查全腹增强CT及胸部增强CT提示:腹腔内、腹膜后多发肿大淋巴结较前增多(图9~图12) ;
图9 术后CT腹腔内、腹膜后肿大淋巴结较前增多(一)
图10 术后CT腹腔内、腹膜后肿大淋巴结较前增多(二)
图11 术后CT腹腔内、腹膜后肿大淋巴结较前增多(三)
图12 术后CT腹腔内、腹膜后肿大淋巴结较前增多(四)
左侧颈部、纵隔、膈肌角后间隙多发肿大淋巴结,符合淋巴瘤改变(图13~图16)。
图13 胸CT示膈肌角后间隙多发肿大淋巴结(一)
图14 胸CT示膈肌角后间隙多发肿大淋巴结(二)
图15 胸CT示纵隔多发肿大淋巴结
图16 胸CT示左颈部多发肿大淋巴结
骨髓细胞检查未见明显异常(图17,图18)。
图17 骨髓细胞检查未见明显异常(一)
图18 骨髓细胞检查未见明显异常(二)
化验单回报:血常规:白细胞6.4×109/L,血红蛋白90g/L;肝功能:总蛋白50.7g/L,白蛋白22.0g/L,血清β2微球蛋白3.4mg/L。患者再次入院诊断:①非霍奇金淋巴瘤(弥漫大B细胞型,ⅢE期A组,IPI评分:5分) ;②低蛋白血症;③低钾血症;④低钙血症。
7.根据患者目前状态及病理分期,给予患者补充白蛋白、补钙、补钾、利尿等支持治疗。
8.明确分期后予CHOP方案化疗,即:环磷酰胺0. 6g,隔日一次(第1,3天)静点;长春新碱2mg,静点(第1天) ;吡柔比星20mg,日一次静点(第1~3天) ;地塞米松10mg,日一次静点(第1~5天)。同时予保肝、止吐、保护胃黏膜等相关治疗。



