根据NCCN指南的定义:所有Ⅲ期乳腺癌定义为局部晚期乳腺癌(locally advanced breast cancer,LABC),因为炎性乳癌大多在诊断时已经为局部晚期乳腺癌或晚期乳腺癌,所以局部晚期乳腺癌(Ⅲ期乳腺癌)包括没有临床转移的炎性乳癌(inflammatory breast cancer,ABC)和非炎性的局部晚期乳腺癌(locally advanced breast cancer,LABC)。基于局部晚期乳腺癌的高复发率和高转移率,此类患者的多数预后不佳。但是,随着规范的新辅助治疗、手术、术后规范化序贯治疗的实施,此类患者的预后已经显著改善,特别是那些非炎性的局部晚期乳腺癌患者。
病史
女性患者,57岁,以“左乳逐渐增大肿物20个月,左侧腋窝肿物近3个月”为主诉入院,患者20个月前无意发现左乳拇指头大小肿物,不伴有疼痛,之后缓慢生长,自行曾间断口服中药治疗,未见好转。近3个月发现左侧腋窝质硬肿物并伴有轻度的肩关节活动不适。病来否认乳房外伤史,饮食、睡眠良好,二便正常,体重无下降。停经5年。
体格检查
直立位双乳形态基本对称,退化型乳腺,左乳外上限隆起,范围约6cm×5cm,上举双上肢于左乳外上象限距离乳头1.5cm可见局部皮肤轻度凹陷,存在酒窝征,未见橘皮样变,未见皮肤红肿及破溃。平卧位外展左上肢,于左乳2点钟方向距离乳头2cm可触及5cm×4cm大小质硬肿物,边界不清,轻微触痛,与胸壁无粘连。左上肢内收位,左侧腋窝内侧壁可触及3.5cm×3cm大小质硬肿物,触痛,移动性差,与周围组织存在粘连,左锁骨上未触及肿大淋巴结。左乳肿物临床分级为五级。右乳查体基本正常。
辅助检查
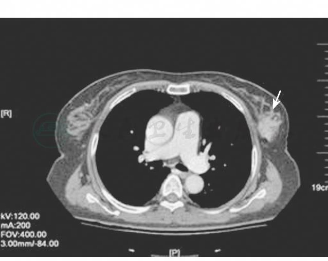
乳腺彩超:左乳外上限不均质回声区,主体约2.3cm×1.9cm×1.7cm大小,边界模糊,形态不规则,周围可见动脉频谱血流。左腋下可见数个肿大淋巴结,较大长径约2.6cm,考虑融合淋巴结,左锁骨下及锁骨上分别可探及肿大淋巴结数枚。左乳肿物考虑恶性,左腋窝淋巴结转移。右乳腺增生,未见肿物。乳腺X线片(图1~图4):左乳外上象限不整形肿物,范围约4.7cm×3.1cm,边界模糊,临近腺体结构扭曲伴浅淡微钙化。附近皮肤增厚。左腋下可见淋巴结。BI-RAD分级5。右乳退化型腺体,BI-RADS 1。乳腺增强CT示:左乳外上象限不整形肿物,边界模糊,最大截面积3.6cm×2.7cm。增强扫描后呈不均匀的明显强化,左腋窝、锁骨上可见多个大小不等的肿大淋巴结,增强扫描亦见明显强化。左乳腺癌伴左腋窝、锁骨上淋巴结转移可能性大。CEA、CA-153均在正常范围内,全身骨扫描及肝胆脾彩超未见异常。性激素检测提示患者为绝经期,骨密度检测T-score:-0.7。

图1 局部晚期乳腺癌X线片1

图2 局部晚期乳腺癌X线片2

图3 局部晚期乳腺癌X线片3

图4 局部晚期乳腺癌X线片4
入院诊断
左乳癌(T3N3M0,Ⅲc)
(一)新辅助化疗
1.采用空心针穿刺活检,病理证实为浸润性导管癌,组织学分级Ⅱ级,ER(+),PR(-),Her2(-)。
2.TC方案化疗(21天×3,体表面积=1.55平方米)
(1)地塞米松 8mg,日2次口服,化疗前1天,化疗第1、2天
(2)盐酸帕洛诺司琼 0.25mg,肌注,化疗第1天
(3)盐酸托烷司琼 5mg,静脉注射(侧管),化疗第1天
(4)奥美拉唑 42.6mg+生理盐水100ml,30分钟静点,化疗第1、2天
(5)氢化泼尼松 20mg,静脉注射(侧管),化疗第1天
(6)多西他赛 120mg+生理盐水250ml,30分钟静点,化疗第1天,用药前生理盐水50ml冲管
(7)盐酸昂丹司琼 8mg,静脉注射(侧管),化疗第1天
(8)环磷酰胺 900mg+生理盐水100ml,30分钟静点,化疗第1天,用药前生理盐水50ml冲管
(9)人粒细胞集落刺激因子 150μg,皮下注射,化疗第2、3天,根据复查白细胞结果延长用药时间
3.新辅助化疗后评估
(1)第一个周期TC方案化疗后,病人自觉乳房局部组织明显变软。彩超检查左乳肿物主体与化疗前比较有缩小。
(2)第三个周期TC方案化疗后,乳腺CT提示左乳肿物和左腋窝、锁骨上淋巴结都有缩小(图5~图9)。

图5 局部晚期乳腺癌新辅助化疗后CT改变1

图6 局部晚期乳腺癌新辅助化疗后CT改变2

图7 局部晚期乳腺癌新辅助化疗后CT改变3

图8 局部晚期乳腺癌新辅助化疗后CT改变4

图9 局部晚期乳腺癌新辅助化疗后CT改变5
(二)手术治疗
(1)患者接受改良乳腺癌根治术(Auchincloss,Level 3)。
(2)术后石蜡病理:浸润性导管癌,组织学分级Ⅱ级,脉管癌栓(+),ER(++),PR(+),Her2(-),P53(15%),Ki67(10%),淋巴结总计(27/33)Level 1(15/17),Level 2(8/10),Level 3(4/6)。
(三)术后序贯治疗
(1)总体方案:拟再行TC×3序贯AC×3+放疗(胸壁、锁骨区和胸骨旁区)+内分泌治疗(芳香化酶抑制剂同时检测骨密度及血脂)。
(2)目前为术后第二次化疗,未发现脏器转移证据。