【病例介绍】
病例一
病史
女性患者,52岁。发现左乳肿物6月余入院。
体格检查
双乳对称,无乳头凹陷及溢液,左乳外上象限2点钟方向距乳头2cm处可及一界限不清楚的扁平结节,范围约2.5cm×1.0cm,质韧,活动度差,触痛(+),与周围组织无粘连。左腋下可及一个淋巴结。右乳未触及肿块。右腋窝未触及肿大淋巴结。
辅助检查
乳腺X线片(图1):左乳肿物,伴簇状微钙化,BI-RADS: 4B。

图1 乳腺癌乳腺X线片
乳腺彩超(图2):双乳腺增生,左乳腺低回声团,目前考虑良性可能性大。

图2 乳腺癌乳腺彩超(病例1)
乳腺增强磁共振(图3):左乳外上象限小结节伴点状钙化,BI-RADS 3级。

图3 乳腺癌乳腺增强磁共振(病例1)
入院诊断
左乳肿物(四级)
病例二
病史
女性患者,44岁。左乳肿物4个月入院。
体格检查
左乳3点方向腺体边缘处可触及结节1.5cm,椭圆形,表面光滑,边界清楚,质地较硬,活动性良。右乳4~5点钟方向局部稍硬韧,未触及肿块。
辅助检查
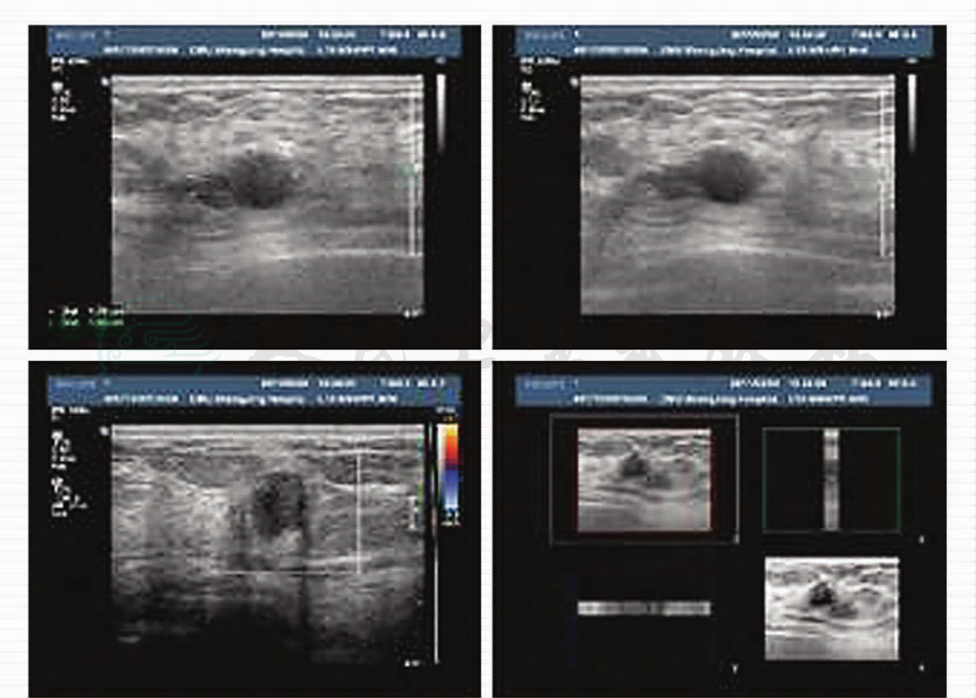
乳腺彩超(图4):相当于3点钟距乳头约4.8cm处见1.3cm×0.8cm肿物,边界清,内呈低回声。

图4 乳腺癌乳腺彩超(病例2)
右乳未见明显占位病变。超声提示:左乳肿物良性可能性大。乳腺X线片(图5,图6):左乳外侧约3点方向包块,界限不清,1.5cm×1.3cm。右乳内下象限区域分布浓淡不均的微钙化,范围约2.4cm×1.4cm,局部组织密度略高,界限不清。X线诊断:左乳肿物,BI-RADS 4a,右乳内下象限局部微钙化,BI-RADS 4b。

图5 乳腺癌乳腺X线片微钙化1

图6 乳腺癌乳腺X线片微钙化2
乳腺增强MRI(图7):左乳外下象限可见一个椭圆形病灶,1.2cm×0.9cm,边界较清楚,略呈分叶状。增强扫描呈渐进式明显强化。右乳未见异常。磁共振提示:左乳外侧结节,纤维腺瘤可能大,BI-RADS 3。再次请超声会诊右乳腺,在右乳内下象限可见模糊钙化影像,疑似结节。

图7 乳腺癌乳腺增强磁共振(病例2)
入院诊断
左乳纤维腺瘤,右乳肿物(四级)
病例三
病史
女性患者,34岁。双乳肿物4个月入院。
体格检查
双乳对称,无乳头凹陷及溢液,无明显“酒窝征”及“橘皮样”改变,左乳外象限距乳头5.0cm处可及一大小约2.0cm×1.0cm的肿物,形态不规整,质地硬,边界不清,与周围组织无粘连,触痛(+),右乳外下象限距乳头4.0cm处可及一大小约1.5cm×1.0cm的肿物,形态不规整,质地韧,边界不清,与周围组织无粘连,触痛(+),双腋窝未及明显肿大淋巴结。
辅助检查
乳腺彩超(图8):右乳腺外下象限可见1.7cm×1.0cm肿物,边界模糊,内呈低回声,左乳腺外象限体边缘处可见1.4cm×1.1cm肿物,边界模糊,内呈低回声。双腋窝未见明显肿大淋巴结。双乳腺肿物。

图8 乳腺癌乳腺彩超(病例3)
乳腺X线片:右乳外上象限见局限不对称密度影,后方结构略纠集(图9,图10),左乳上象限腺体深部见直径1.4cm等密度结节,

图9 乳腺癌乳腺X线片右1(病例3)

图10 乳腺癌乳腺X线片右2(病例3)
腋下未见肿大淋巴结(图11,图12)。双乳BI-RADS: 3。

图11 乳腺癌乳腺X线片左1(病例3)

图12 乳腺癌乳腺X线片左2(病例3)
入院诊断
双侧乳腺肿物(三~四级)
病例一
全麻下切除左乳外上限5cm×4cm×2.5cm乳腺组织。立即行乳腺X照相,确认术前乳房X线提示的微钙化区域已经被切除(图13)。

图13 术中切除肿物X线片
标记可疑肿瘤部位,肿瘤所在范围约3cm×1.5cm×1.0cm,其中有1个长径约1.2cm的结节,切面有粉刺状物质,较硬。术中病理:导管内癌。根据术前签字,行改良乳癌根治术(D1),术中清除前哨淋巴结4个及肋间臂神经水平以下腋窝淋巴结12个,未见转移癌。术后病理检查:肉眼见在乳腺组织中有0.6cm区域灰白色,细颗粒状。癌细胞位于乳腺导管内,部分中心有坏死。病理诊断:乳腺导管内癌(高级别)。ER(-),PR(-),HER-2(+),淋巴结未见转移。复查病理免疫组织化学染色结果相同。按照乳腺癌临床诊治指南建议定期复查。
病例二
全麻下,切除左乳肿物,术中病理:良性。根据超声术前定位,切除右乳内下象限腺体。见切除的腺体内肿瘤界限不清,组织硬韧,大约长径约1.5cm,宽约0.5cm,切面上见到细小的钙化物质。术中病理:恶性。行改良乳癌根治术(D1)。术后病理:肉眼见右乳内下限长条状结节钙化,约3cm ×2cm×1.5cm,其中见缝线标记处0.3cm结节,部分质地硬,似钙化。镜下见导管上皮异型增生,可见坏死,局灶见浸润。未见脉管癌栓。ER(浸润癌-/导管内癌+),PR(+),HER-2(-),病理诊断:右乳导管内癌为主,部分为浸润性导管癌(1级)。前哨淋巴结(0/4)及一站淋巴结阴性(0/16)。左乳纤维腺瘤样增生。
病例三
考虑为双侧乳房肿物,故在全麻下手术。术中分别切除乳房肿物并送病理做冷冻切片检查(图14)。

图14 术中切除肿物所见
病理:左乳肿物良性,右乳肿物恶性。行左乳肿物切除术,右乳改良乳癌根治术。术中发现腋窝淋巴结肿大,有部分淋巴结较硬。清除一站、二站淋巴结后,考虑一站淋巴结可能有转移,故将二站淋巴结送病理检查,报告为二站淋巴结反应性增生,其中1个淋巴结被膜处见异型细胞。未做三站淋巴结清扫。术后病理:左乳纤维腺瘤伴导管上皮增生。右乳浸润性导管癌(Ⅱ级),ER(-),PR(-),C-erbB-2(2+),Ki-67(40%+),P53(-),一站淋巴结(5/16),二站淋巴结内未见癌,1个淋巴结被膜见癌细胞(0/4)。后续治疗为:化疗,TAC方案,放疗。