胸骨后甲状腺肿是指50%以上腺体位于胸骨上切迹下方或肿大的甲状腺原发于纵隔内。一般分为三型:Ⅰ型为不完全性胸骨后甲状腺肿,Ⅱ型为完全性胸骨后甲状腺肿,Ⅲ型为胸内异位或迷走甲状腺肿。Ⅰ、Ⅱ型是颈部甲状腺肿增大后沿筋膜向下坠入胸膜腔形成,肿块有蒂、条索或韧带与颈部甲状腺相连,该型甲状腺肿的血供主要来自甲状腺下动脉,静脉回流经甲状腺下静脉;Ⅲ型为胸内异位迷走性甲状腺肿,其血供来自主动脉弓,经静脉回流至纵隔静脉内,此型较为罕见。胸骨后甲状腺肿是前上纵隔常见的占位性病变,病理上可为结节性甲状腺肿、甲状腺腺瘤,偶可为甲状腺癌或甲状腺炎。由于下降的甲状腺肿在左侧会遇到锁骨下动脉、颈总动脉及主动脉弓,而右侧只有无名静脉,间隙较宽,故胸骨后甲状腺肿以右侧居多。胸骨后甲状腺肿物与纵隔关系密切,纵隔内有头臂干、上腔静脉及左、右头臂静脉、迷走神经等重要血管神经,给胸骨后甲状腺肿的外科治疗造成较大困难。
【病例介绍】
病史
男性患者,48岁。以“活动后气短、胸闷、反复发作胸痛1年”为主诉入外院就诊。外院检查心电图示ST段压低,T波倒置;动态心电图示无症状性心肌缺血的心电图改变;超声心动图显示短暂性室壁运动异常。诊断为不稳定型心绞痛,给予阿司匹林、硝酸甘油等对症治疗无效,后转入我院治疗。
体格检查
T 36. 5℃,P 81次/分,R 16次/分,BP 142/85mmHg,甲状腺Ⅱ度肿大,可触及多发质韧结节,随吞咽上下移动不明显。双肺听诊呼吸音清,心率81次/分,律齐,无杂音。
辅助检查
甲功系列检查结果正常。颈胸片提示上纵隔增宽,气管上段限局性狭窄(图1)。
图1 颈胸X线片示上纵隔增宽,气管上段限局性狭窄
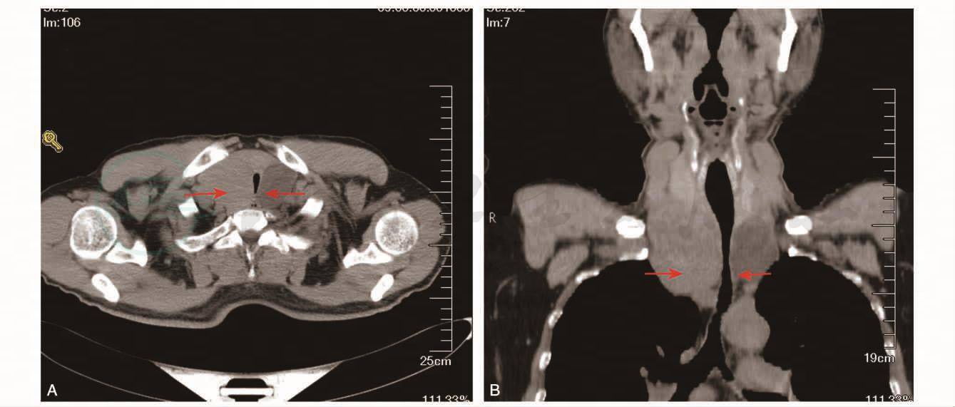
颈胸部CT:双侧甲状腺增大,向下延伸至胸骨后,其内见多发低密度结节,部分有囊性变。气管受压狭窄、左移(图2)。甲状腺彩超:双侧甲状腺增大,见多个低回声结节及囊性肿物。
图2 颈胸部CT示双侧甲状腺增大,向下延伸至胸骨后,其内见多发低密度结节,部分有囊性变。气管受压狭窄、左移(箭头所示)
入院诊断
胸骨后甲状腺肿
全麻行双侧甲状腺大部切除术,病理回报为结节性甲状腺肿。



