原发性甲状旁腺功能亢进是需要外科干预的内分泌疾病,以高钙血症和血浆PTH增加为特征。80%由单发甲状旁腺腺瘤引起,颈部放疗史及情感障碍患者长期应用锂治疗是单发甲状旁腺瘤发生的高危因素;12%是甲状旁腺增生,1%~5%是多发性腺瘤,2%~3%是腺癌。50%病例伴有家族性遗传综合征,如Ⅰ型和Ⅱa型多发性内分泌腺瘤综合征(MENⅠ,MENⅡa)。当甲状旁腺分泌过多PTH,骨钙溶解入血,引起血钙增高,因肾小管对磷的回吸收减少,使尿磷增加、血磷降低。由于腺瘤的自主性,使血钙对PTH释放的反馈调节丧失,致血钙持续增高。甲状旁腺功能亢进在临床分为无症状型和症状型两类,有症状型可分为三型:Ⅰ型,骨型,表现为骨骼广泛的脱钙及骨膜下骨质吸收。严重者称为全身性纤维囊性骨炎(vonRecklinghausen病);Ⅱ型,肾型,主要表现为肾结石;Ⅲ型,兼有两者特点,表现为尿路结石和骨骼脱钙病变。
【病例介绍】
病史
女性患者,53岁。因上腹部疼痛、食欲缺乏、恶心、呕吐1个月在外院住院治疗。在外院诊断为慢性胃炎,给予对症治疗。治疗中患者出现昏迷,转入我院。
体格检查
T 36.5℃,P 81次/分,R 16次/分,BP 142/85mmHg,深昏迷,甲状腺无肿大,未触及结节,未闻及血管鸣。腹平坦,未见胃肠型及蠕动波,腹软,肝脾肋下未触及,肠鸣音2~3次/分,未闻及气过水声及高调肠鸣。
辅助检查
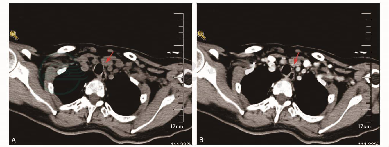
血、尿常规、肝功能、肾功能、血糖均正常,血清钾离子4.2mmol/L,血清钠离子145mmol/L,血清氯离子98mmol/L。碱性磷酸酶(ALP)360U/L(正常值40~150U/L)。血清钙离子5.5mmol/L(正常值2.1~2.55mmol/L),血磷0.56mmol/L(正常值0.9~1.6mmol/L)。血甲状旁腺激素(PTH):701pg/ml(正常值14~72pg/ml)。腹部超声:胆囊多发息肉。甲状腺彩超:甲状腺多发结节,左锁骨上窝结节,大小1.9cm×1.8cm×1.0cm,边界清,低回声;颈部增强CT:左侧甲状腺腺体后下方、气管左前方不规则结节影,2.0cm×1.1cm,增强后结节中等强化;考虑甲状旁腺腺瘤(图1)。
图1 颈部增强CT箭头所示左侧甲状腺腺体后下方、气管左前方不规则结节影,大小2.0cm×1.1cm,增强后结节中等强化
甲状旁腺核素显像:甲状腺左叶下方类圆形放射性浓聚影(图2)。
入院诊断
1.原发性甲状旁腺功能亢进
2.甲状旁腺腺瘤
3.甲状旁腺危象
1.补液、扩容24小时静脉补生理盐水6000ml。
2.利尿呋塞米每次20mg,每日4次静脉注射。
3.降血钙密盖息(人工合成的鲑鱼降钙素)400IU加入生理盐水500ml,每日一次静滴,静滴时间至少6小时。
4.补充电解质监测血清离子,及时纠正,预防离子紊乱。
5.入院后第2天急诊全麻下行手术治疗,术中见甲状腺左叶下极背面2.0cm×2.0cm质韧肿物,切除后送冷冻切片检查证实为“甲状旁腺腺瘤”。术后病理:甲状旁腺腺瘤。
6.术后病人出现低钙血症。初期给予静脉补钙,之后给予口服补钙,术后7天患者出院。
图2 甲状旁腺核素显像,箭头所示甲状腺左叶下方类圆形放射性浓聚影



