患者,男性,80岁。患者外出行走时摔倒,右髋部、右肩着地摔倒,导致右髋部、右肩疼痛4小时,于宣武医院急诊就诊,X线检查为右股骨转子间骨折、右肱骨近端骨折而收住院治疗(图1,图2)。查体:右髋、右肩肿胀,右下肢短缩外旋畸形。右髋、右肩关节活动受限,压痛阳性。既往高血压病史16年,药物可控制。脑血栓后遗留右侧下肢肌力下降,功能不良3年,借助步行器可外出行走。

图1 术前髋关节X线片

图2 术前肩关节X线片
【治疗原则】
患者右股骨转子间骨折AO分型为A2型,小转子骨折,但其内侧皮质未见明显缺损。骨折复位固定后具有一定的稳定性,可考虑闭合复位、短髓内钉内固定的治疗方案。右肱骨近端为Neer二部分骨折,骨折复位后的稳定性可,二部分骨折复位固定后愈合率较高,也可考虑行骨折切开复位内固定术。
患者入院完善相关术前检查,无明显手术禁忌,于入院第3天在连续硬膜外麻醉下行右股骨转子间骨折闭合复位短髓内钉固定术。术后第6天在右臂丛麻醉下,行右肱骨近端骨折切开复位内固定术。
右股骨转子间骨折于麻醉成功后,患者置于牵引床上行闭合牵引复位,C形臂X线正侧位片见骨折复位良好。常规碘酒、酒精消毒后铺无菌单。触及右股骨大转子部并向近端延续2~4cm为切口起点,取长约3~4cm切口,依次切开皮肤、皮下组织、阔筋膜,钝性分离肌肉。触及大转子尖,置入导针,位置良好后置入髓内钉主钉。C形臂X线正侧位片观察主针深度及其前倾角,调整到良好位置及角度后,顺导钻打入股骨头颈内导针。再用C形臂X线机观察导针位置及其进针深度,均满意后测量其头颈内固定钉长。顺导针方向打入PFNA头颈固定钉,C形臂X线机探查见骨折复位良好,头颈内固定钉位置可。再于外侧导向装置,由套筒导引钻孔后打入远端锁定。冲洗伤口,留置引流管1枚,逐层关闭伤口。无菌敷料包扎,手术顺利,麻醉满意,术中出血约30ml。术毕活动髋关节,见关节活动良好。术后24小时后移除引流管,并将床头抬高30°~40°以减少患者进食或咳嗽时的不适。术后第2天行X线检查示骨折复位满意,正位片见内置物位置良好,侧位片见头颈内固定物偏前(图4)。

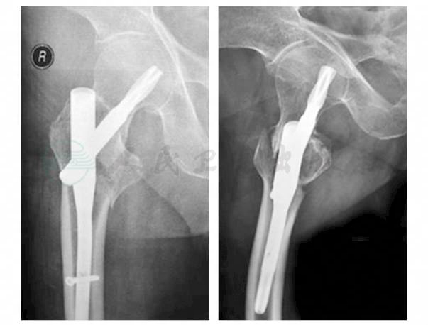
图4 术后髋关节X线片
术后第2天右肩行悬吊固定后逐渐进行坐起,双下肢放于床边凳子上进行适应性活动。术后6天第一次手术平稳后行右肱骨近端骨折切开复位内固定术。
右臂丛麻醉成功后,常规碘酒、酒精消毒后铺无菌单。取三角肌、胸大肌间隙入路,长约12~15cm。依次切开皮肤、皮下组织,显示并保护好头静脉,分离肌间隙。探查见肱骨大结节存在骨折线,大结节骨折无明显移位。外科颈骨折部分嵌插,移位明显。术中先利用克氏针临时稳定大结节部位骨折,复位肱骨近端骨折,术中透视见骨折复位良好。紧贴结节间沟放置PHILOS( AO)钛板,先于滑动孔打入一枚螺钉,C形臂X线机透视调整钛板位置及高度。克氏针维持好骨折复位及钛板位置,逐一钻孔,测深,分别拧入螺钉进行骨折固定。固定完成后再次行C形臂X线拍片见骨折复位良好,接骨板位置及螺钉长短合适。术中被动活动肩关节无撞击,无受限。留置引流管引流,逐层关闭伤口,无菌敷料包扎。手术顺利,术中出血约100ml,术后安返病房。术后第2天移除引流管,并行X线检查(图5)。随后开始肩关节被动功能锻炼,逐渐增加被动内旋、内收及外展练习。

图5 术后肩关节X线片
【随访结果】
患者术后10个月随访见:右髋、右肩关节被动活动VAS疼痛评分0分;右髋主动活动VAS疼痛评分1分,右肩主动活动VAS疼痛评分2分,患者及家属对手术均满意。
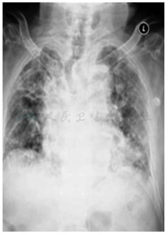
患者术后19个月因肺部感染再次入院治疗,入院检查为肿瘤肺转移并双肺感染,住院不及1个月死亡(图6)。

图6 术后1年胸部X线片



