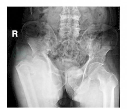
患者,男性,78岁。患者主因“外伤后右髋部疼痛,肿胀畸形,活动受限3天”入院。患者3天前行走时不慎摔倒,当即感左髋部疼痛,活动受限,无法行走。即来我院急诊,摄X线片示:右股骨转子间及转子下骨折。为进一步治疗收入院。入院查体:右髋关节肿胀,右侧股骨大转子压痛明显,髋关节活动受限。既往高血压病史16年,糖尿病病史5年,均药物控制稳定;10年前出现脑梗死,现残留右侧肢体部分功能障碍;慢性乙型病毒性肝炎8年,脾大,脾功能亢进;贫血;血小板减少性紫癜3年。结合查体及X线检查诊断:右股骨转子间及转子下骨折(图1)。

图1 骨盆正位X线片
【治疗原则】
患者骨折类型为AO分型的A3型骨折,内侧骨皮质粉碎,骨折线延及转子下,同时患者合并有骨质疏松,为高龄老人,应行手术内固定治疗。患者内科并发症多,一般情况差,多科会诊之后,判断该患者无明显手术禁忌,遂进入术前准备程序,积极控制及监测血压、血糖;术前72小时起,间断输注压积红细胞,以提高血红蛋白;给予保肝药物治疗;手术前12小时起,输注血小板。于入院3天后入手术室,先于局麻下行心脏临时起搏器置入,随后在静吸复合全身麻醉下行左股骨转子间骨折闭合复位PFNA内固定术。
麻醉成功后,患者取平卧位,牵引床牵引患肢,取患肢轻度内收,躯干亦轻度内倾的扶他林体位,持续牵引并内收内旋患肢,C形臂X线机透视下行骨折复位。常规碘酒、酒精消毒术区皮肤,铺无菌巾,术区皮肤贴护肤膜。行左髋大转子上方外侧纵行切口,长约5cm,切开皮肤、皮下组织、阔筋膜,钝性分离臀中肌,仔细止血,显露股骨大转子尖端,剥离附着的肌肉,以开路器于梨状窝偏外侧钻开皮质,插入导针,透视确定导针位于髓腔内,再以扩髓器扩孔,将髓内针插入髓腔内,透视确定插入深度合适。通过瞄准器斜行插入导向套筒,小切口切开皮肤皮下,分离肌肉,套筒抵住股骨,打入导针,透视下确定导针位置,正位于股骨颈中下1/3,侧位于股骨颈中央,分别测深、钻孔,打入直径11mm长度适中的股骨颈螺旋刀片。透视确定螺旋刀片位置深度合适,顺时针拧紧螺旋刀片打入器使其锁定。取远端小切口,通过导向器钻孔拧入锁钉1枚,行C形臂X线机透照查复位满意,锁钉位于钉孔内,术中被动活动患肢膝、髋关节无异常,骨折断端复位良好、无反常活动,内固定牢固。清洗伤口,放置1根引流管,逐层关闭伤口。术后患者安返外科监护病房,于术后6小时顺利脱机拔管,术后12小时撤除临时起搏器。1天后转入骨科病房。
术后嘱患者卧床,第1日即开始患肢肌肉等长收缩练习,术后第2日视引流量移除引流管,行X线检查示骨折复位,内固定满意(图3)。即开始髋关节被动活动,予CPM被动关节活动练习。并给予低分子肝素4000U皮下注射,每日一次,及双下肢静脉泵抗血栓治疗。术后在患者无痛的前提下,嘱其尽早翻身并可坐起,术后1周即可免负重下地功能锻炼。术后每月复查X线片,见骨痂初步形成即可开始部分负重功能锻炼。

图3 术后右髋关节正侧位X线片
【随访结果】
患者术后恢复顺利,术后2周顺利拆除伤口缝线出院回家。3月骨痂初步形成,开始部分负重功能锻炼。术后1年左髋关节被动活动VAS疼痛评分1分,主动活动VAS疼痛评分2分;患者对手术的满意度评分为9分(0~10分,0分为一点也不满意,10分为绝对满意)。Harris评分85分。患者基本达到无痛日常活动,且髋关节活动度基本正常。



