作者
刘利民
案例诊断
尺桡骨远端骨折
病例介绍
患者,女性,65岁。患者行走时不慎摔倒,左腕着地受伤。伤后左腕部疼痛,活动受限。3小时后于急诊就诊,拍X线片为左尺桡骨远端骨折,收住院治疗。查体:左腕明显肿胀、畸形,左腕关节活动障碍,压痛阳性,可触及骨擦感。实验室检查:血糖11.7mmol/L,余无明显异常,手术前血糖调整到5.4~7.8mmol/L。心电图:窦性心律,大致正常心电图。X线片(图1)及CT(图2)示:左尺桡骨远端骨折。
图1 术前腕关节正侧位X线片
图2 术前腕关节CT
此内容为收费内容
治疗过程
【治疗原则】
桡骨远端骨折诊断明确,为恢复腕关节功能有手术指征。患者病史、查体、化验检查及影像学检查等方面未见明显手术禁忌。
【随访结果】
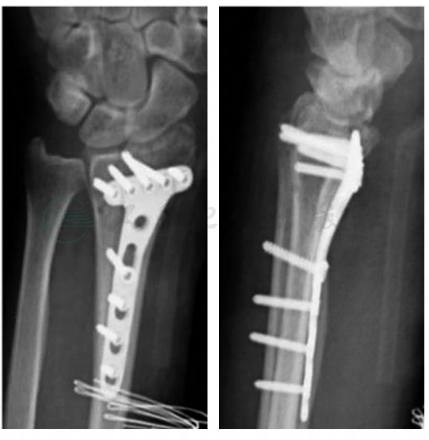
患者术后第1天开始手及腕关节的屈/伸活动,术后第7天进行握力锻炼。此后逐渐加强手的屈伸功能,腕关节屈伸、尺偏、桡偏、旋转及前臂旋转功能练习。术后8个月取出内固定物时,腕关节无疼痛,握力良好,关节功能良好,Gartland及Werley评分优,患者满意(图3,图4)。
图3 术后腕关节正侧位X线片
图4 术后12周内固定取出后X线片
此内容为收费内容
此内容为收费内容



