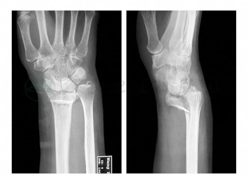
患者,女性,61岁。患者入院前5小时骑自行车时摔倒,右手掌撑地,伤及右腕部,即感右腕部疼痛,活动障碍,伴肿胀,右手桡侧三指麻木。就诊于北京大学人民医院急诊,行X线检查提示为“右桡骨远端骨折,桡骨远段小骨折块向掌侧移位,尺骨茎突骨折”。遂入院进一步治疗。既往高血压病史10余年,口服药物治疗,血压控制在130/80mmHg。12年前行右卵巢囊肿切除术。10年前因子宫肌瘤行子宫全切术。8年前行甲状腺腺瘤切除术。查体:右腕部明显肿胀,压痛明显,可触及骨擦感,腕关节活动障碍。血运正常。右手桡侧3个半手指感觉麻木。辅助检查:X线片(急诊):右桡骨远端骨折,桡骨远段小骨折块向掌侧移位,尺骨茎突骨折(图1)。

图1 术前腕关节正侧位X线片
【治疗原则】
患者骨折类型为AO分型的C1型骨折,同时患者合并有骨质疏松,分析采用的治疗方案为切开复位内固定术。
患者入院完善相关术前检查,无明显手术禁忌,遂于入院当天在臂丛麻醉下行右桡骨远端骨折切开复位内固定术。
麻醉成功后患者取仰卧位,右上肢外展位。常规用碘酒、酒精消毒,铺单。打止血带后行桡掌侧切口,依次切开浅、深筋膜,拉开并保护桡动脉和桡神经背侧支。剥离显露桡骨远端见骨折为粉碎性,有两条纵行骨折线通过关节,轻度移位,骨质疏松。手法行骨折断端复位,8孔斜T形钢板塑形后放在桡骨掌侧,T形头向远端。在骨折线远端及近端分别钻孔、测深,拧入6枚合适长度的螺丝钉。检查发现腕关节及骨折断端稳定性良好。术中拍X线片见骨折复位固定满意,螺钉长短合适。冲洗伤口后逐层关闭伤口。留置引流片,酒精消毒,覆盖无菌敷料,加压包扎后松止血带。术后患者安全返回病房。
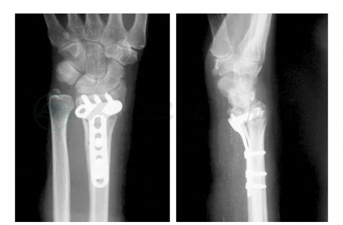
术后24小时拔除伤口引流条。术后第1天开始指间关节和掌指关节主动活动,同时配合肢体静脉泵消肿治疗。术后第2天减少伤口敷料,包扎后开始腕关节功能练习,由患者健侧手辅助被动活动逐渐过渡到患侧腕关节的主动活动。到伤口拆线时患侧腕关节应达到正常的活动范围。术后复查X线片,见内固定位置良好(图2)。

图2 术后腕关节正侧位X线片
【随访结果】
患者术后随访结果:①腕关节疼痛评价:骨折部位疼痛0分,活动时疼痛2.5分,腕尺侧疼痛0分。对治疗满意度9分(总分为10分,分数越小,表示疼痛越轻;分数越大,表示满意度越高)。②腕关节功能评价:患侧腕关节掌屈45°,背屈62°,桡偏22°,尺偏30°,旋前80°,旋后50°;健侧腕关节掌屈70°,背屈80°,桡偏26°,尺偏63°,旋前80°,旋后45°。Gartland和Werley评分为优。③影像学评价:术后关节炎评价为关节间隙明显狭窄、骨赘形成,关节面不平整度分级为3级(>3mm),尺偏角评价为30分(总分30分),掌倾角评价为24分(总分30分),桡骨高度评价为40分(总分40分),下尺桡关节正常,影像学评分74分。X线检查提示骨折愈合良好。



