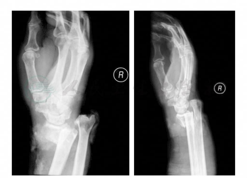
患者,男性,76岁。患者入院前2小时在家中不慎右腕部被狗咬伤,即感右侧腕部剧烈疼痛,流血不止,伴右腕部畸形,活动受限。就诊于北京大学人民医院急诊,行X线检查提示为“右桡骨远端骨折”,遂入院进一步治疗。既往15年前因腹外疝行手术治疗。查体:右腕部夹板固定及敷料包扎,可见较大量血性渗出,拆开敷料可见腕部掌侧、背侧及手背多个大小不等、深浅不一的创口及皮肤缺损。腕部明显肿胀,下尺桡关节脱位,右腕尺偏畸形明显。尺侧5cm长伤口,尺骨头外露。桡背侧两处各有5cm伤口,活动出血,肌腱外露,手背多发较小皮肤裂伤。右手指端、小指、虎口区感觉无明显减退,皮温稍降低,桡动脉、尺动脉搏动良好,指端血运尚可。辅助检查:X线片(急诊):右侧桡骨远端干骺端粉碎骨折、向尺侧完全移位,下尺桡关节分离(图1)。
图1 术前腕关节正侧位X线片
【治疗原则】
患者骨折类型为AO分型的C2型骨折,为开放性骨折,同时合并下尺桡关节脱位。患者同时合并有骨质疏松,分析采取的治疗方案为清创术、外固定架固定术、负压持续引流术。
患者入院完善相关术前检查,无明显手术禁忌,遂于入院当天在臂丛麻醉下行右桡骨远端开放性骨折脱位清创术、外固定架固定术、负压持续引流术。
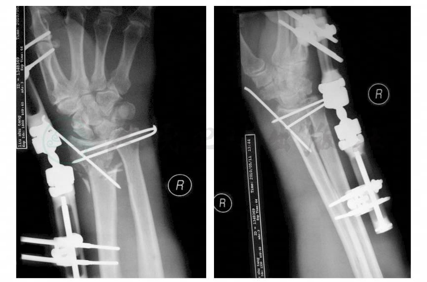
麻醉成功后患者取仰卧位,右上肢外展,右上臂绑止血带。肥皂水清洗伤口周缘皮肤,生理盐水、过氧化氢、苯扎溴铵反复冲洗伤口。碘附消毒、铺单。止血带充气220mmHg,各创口扩创,切除碎裂的污染组织,修剪皮缘。探查桡动脉、尺动脉、正中神经、尺神经,均完整无明显损伤。尺侧腕屈肌部分断裂,旋前方肌破坏严重,将血运差的肌肉组织清除。清创后用过氧化氢、生理盐水、稀释的碘附反复冲洗。更换器械、手套,重新铺单。桡骨远端干骺端粉碎性骨折,骨质缺损严重,无法解剖复位。修整断端,还纳尺骨头,予以复位。一枚克氏针固定桡骨断端,另两枚克氏针固定下尺桡关节。跨腕关节于第二掌骨干和桡骨干放置外固定架,固定腕关节于功能位。透视见骨折功能复位(图2)。尺侧和桡背侧伤口分别放置VSD负压引流海绵,边缘与皮缘缝合数针固定,贴膜封闭,予以持续负压吸引。术后患者安全返回病房。
图2 术后腕关节正侧位X线片
术后抗炎消肿治疗。观察患者前臂肿胀明显消退,两处较大伤口表面软组织及皮缘血运好,坏死不明显,外固定架固定良好无松动、断裂。11天后在臂丛麻醉下行游离植皮术。麻醉成功后患者取仰卧位,右上肢外展,右上臂绑止血带。消毒铺单。止血带充气220mmHg。清创原创面,去除炎性组织,反复冲洗创面。桡侧创面做局部转移皮瓣覆盖。上臂内侧取全厚皮片3cm×3cm,尺侧创面游离植皮,打包加压。上臂内侧供皮区创面直接缝合。术后患者安全返回病房。
【随访结果】
患者第二次手术后14天出院。植皮区域存活。但手术后2个月复查X线片骨折端仍见骨缺损,无愈合征象。外固定支架难以拆除。患者拒绝接受再次手术植骨。腕关节功能差,治疗结果不理想。



