患者,女性,69岁。患者入院前5天因车祸致左肘部外伤,当即感左肘部疼痛剧烈,伴活动受限。伤后3小时就诊于当地医院急诊,行X线检查提示:左肱骨远端粉碎性骨折,予以石膏外固定。为进一步诊治,5天后就诊于北京大学人民医院急诊,以“左肱骨远端骨折”收入院治疗。既往高血压病病史12年,口服药物治疗,血压控制在125/75mmHg左右;24年前诊断类风湿关节炎,现口服爱若华治疗;1年前诊断骨关节炎,口服氨基葡萄糖等药物治疗。查体:左肘关节肿胀明显,局部压痛明显,左肘关节因疼痛活动受限,皮下可见大面积瘀斑。双手呈尺偏畸形。辅助检查:X线片(急诊) :左肱骨远端粉碎性骨折(图1)。

图1 术前肘关节正侧位X线片
【治疗原则】
患者骨折类型为AO分型的C2型骨折,同时患者合并有类风湿关节炎、骨质疏松,分析认为最佳治疗方案为人工肘关节置换术。
患者入院完善相关术前检查,无明显手术禁忌,于入院12天后在臂丛麻醉下行左肱骨远端骨折人工肘关节置换术。
麻醉成功后患者取右倾卧位,腋下垫枕。取左肘后正中稍偏向鹰嘴内侧切口,长约15cm。逐层切开皮肤、皮下组织,显露尺骨鹰嘴,探查左肱骨内上髁,并显露尺神经,适当向两侧剥离,并以橡皮条牵开保护。切开鹰嘴尺侧筋膜剥离,部分切断肱三头肌止点及肱三头肌尺侧肌间隔。见髁间骨折粉碎,分次将全部髁间骨折块全部取出,脱位肘关节,部分咬除髁间窝背侧骨皮质显露肱骨髓腔。置入髓腔导针,连接肱骨截骨标尺并行髁上截骨,以髓腔锉处理髓腔。于尺骨鹰嘴基底部以磨钻开髓并适当截除部分钩状鹰嘴关节面,髓腔探针及远端髓腔锉逐一探查尺骨髓腔并适当扩髓。取尺骨髓腔锉进一步扩髓,分别置入肱骨及尺骨假体试模,复位后连接,屈伸肘关节,见活动度良好,紧张度适中。取出试模,冲洗髓腔,于肱骨远端内外侧皮质上钻孔,并分别引2号不可吸收缝线穿过骨孔备用。混合骨水泥,先后注入肱骨及尺骨髓腔,置入Zimmer肱骨(4IN.Small)及尺骨(4IN.Extra Small)假体并打实。清理溢出的骨水泥,待骨水泥完全凝固,切开肱三头肌腱外侧缘,复位人工肘关节,并插入锁扣连接。被动活动肘关节活动顺畅无摩擦感,活动度可达0°~110°。以此前肱骨远端内外侧皮质上的留置缝线分别缝合前臂屈、伸肌总腱,重建其于肱骨远端的止点。前置尺神经,冲洗伤口,留置伤口负压引流,逐层缝合伤口,无菌敷料加压包扎。
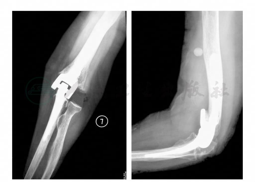
患者术后第2日移除伤口引流管,行X线检查示假体位置良好(图3)。在术后第2天开始不提重的主动活动,并使用颈腕吊带保护3周,不做任何活动度的强力训练,最初3个月内所提物体重量不得超过0.5kg,以后患肢所提重量也不得超过2.5kg。

图3 术后肘关节X线片
【随访结果】
患者术后6个月右肘关节被动活动VAS疼痛评分0分,主动活动VAS疼痛评分1分;患者对手术的满意度评分为10分(0~10分,0分为一点也不满意,10分为绝对满意)。屈伸活动范围15°~135°,Mayo评分为良(90分)。未发现假体松动或假体周围骨折等并发症发生,术后功能良好(图4)。

图4 术后肘关节功能像



