×××,男性,60岁。
【影像学资料】
CT
平扫:肝轮廓清,表面光整。右肝内胆管扩张、圆润,其内无胆石。左肝内胆管结构紊乱(图1)。

图1 CT平扫示左肝内胆管扩张,结构紊乱
增强扫描(动脉期):左肝内胆管“狗尾征”(+)(图2)。

图2 CT增强扫描(动脉期)示左肝内胆管“狗尾征”(+)
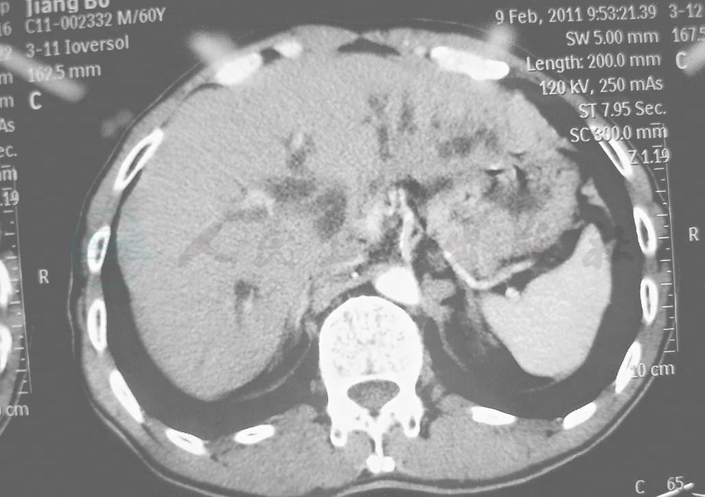
增强扫描(静脉期):门静脉右支、门静脉显像清楚。腹腔动脉周及肝十二指肠韧带未见明显肿大淋巴结(图3)。

图3 CT增强扫描(静脉期)示门静脉、门静脉右支清楚
MRCP:右肝内胆管扩张、圆润,左肝内胆管变硬、虫蚀样,结构紊乱。肝外胆管纤细,胆囊萎陷(图4)。

图4 MRCP示左肝内胆管虫蚀样,结构紊乱
【诊断】
肝门胆管癌Ⅲb。
【手术名称】
(图5)
Ⅱ、Ⅲ、Ⅳ、Ⅰ段肝切除,肝胆管盆式Roux-en-y术。


图5 手术切肝范围示意图
【手术写真】
1. 切口:右上腹反L形切口。
2.清扫肝十二指肠韧带及周围淋巴结。
(1)剔除腹腔动脉干、肝总动脉、胃十二指肠动脉及右肝前后叶动脉周围淋巴结,使其脉络化,结扎、切断肝左动脉(图6)。

图6 图左边蓝线牵拉处为肝左动脉,图右边蓝线牵拉处为肝总动脉,图中间粗大脉管为门静脉
(2)游离胆囊,于十二指肠上缘横断胆总管,向肝门方向剥离至肝门,脉络化门静脉,至门静脉左右干(图7)。

图7 粗大的管道为门静脉,Y形分叉处的右侧为门静脉右干,其左前方入肝者为门静脉右前支,向左后方者为门静脉右后支
3.门静脉右干与肝板粘连较紧,仔细予以剥离,游离门静脉左干(图8),于门静脉左干起始部以门静脉钳钳夹(图9),切断(图10)近肝门端以4-0 Prolene线缝闭,远肝门端以4号丝线缝扎(图11)。处理后的门静脉左干的残端(图12)。

图8 钳尖挑起处为门静脉左干

图9 钳夹门静脉左干

图10 切断门静脉左干

图11 门静脉钳尖夹持处为门静脉左干残端

图12 缝闭后的门静脉左干残端
4.解剖第二肝门,显现肝右静脉、肝中静脉及肝左静脉(图13)。

图13 钳子左前方为第二肝门
安置肝提带(图14),上端先经肝右、肝中静脉间隙引出,后移至肝中静脉、肝左静脉间隙引出(图15)。

图14 导尿管为肝提带,位于肝右、肝中静脉间隙

图15 导尿管为肝提带,移位至肝中、肝左静脉间隙
5.沿隐约可见的左肝缺血线划定预切线,以双极电凝、CUSA、单极电凝离断肝(图16),显现肝中静脉,于其左侧断肝至肝中静脉根部,全程显露肝中静脉(图17)至肝提带前方,粗大的肝中静脉属支配合钛夹或丝线结扎、切断(图17)。

图16 断肝

图17 吸收性明胶海绵块右下方为肝中静脉
6.距胆管癌边缘约1.5cm,横断右肝前叶、后叶胆管及Ⅸ段胆管(图18)。

图18 蓝线牵拉处的胆管口为右肝前叶、后叶胆管
7.于肝提带前方仔细结扎门脉三联支及肝短静脉(图19),逐步显现肝后下腔静脉,移去肝提带(图20)。

图19 离断左侧肝短静脉

图20 导尿管为肝提带
8.直视下结扎、切断左侧肝短静脉4支,显露肝左静脉,以门静脉钳钳夹(图21)、切断(图22)。剪断左冠状韧带,移除左半肝(图23)。

图21 钳夹处为肝左静脉

图22 钳嘴夹持处为肝左静脉残端

图23 Ⅰ、Ⅱ、Ⅲ、Ⅳ段肝标本
9.拼合、整形右肝前叶、后叶及Ⅸ段胆管,组成肝胆管盆(图24)。术野显示肝中静脉全程充盈,肝右动脉、门静脉完好,右肝血运良好。
10.切取桥袢空肠,作肝胆管盆式Roux-en-y术。右肝前叶、后叶及Ⅸ段胆管内均放置硅胶管引流,经桥袢空肠引出。左膈下放置肝胆管一根引流。清点器械、敷料无误,逐层关腹。
手术历时6小时,失血约100ml。

图24 蓝线牵引处和镊子夹持处为肝胆管盆
术后无胆漏、出血、膈下脓肿并发症,黄疸迅速消退。
病理切片:胆管腺癌(中分化)。