【病例简介】
患者,女性,5岁。
主诉:口腔溃疡5天。
现病史:5天来患儿口腔出现溃疡,伴烦躁、哭闹,发病前曾有发热史,经他院抗感染治疗后,发热消退,但溃疡至今未愈。
既往史:否认其他系统病史,否认过敏史。
【临床检查】
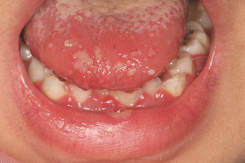
舌背、下唇、双颊成簇水疱及糜烂,部分融合成片,形状不规则,上覆假膜,周围黏膜充血,全口牙龈充血肿胀(图1)。

图1 原发性疱疹性龈口炎
舌背、下唇糜烂,下颌牙龈红肿(武汉大学口腔医学院供图)
【诊断】
Q:本病的诊断是什么?
原发性疱疹性龈口炎。
Q:单纯疱疹的诊断依据是什么?
1.原发性感染多见于婴幼儿,急性发作,全身反应较重。复发性感染多见于成人,全身反应较轻。发病前多有发热史或导致免疫功能低下的诱因。
2.病损特点为口腔黏膜或口周皮肤出现成簇样小水疱,疱破后形成不规则糜烂。
3.原发性病损发生于口腔各处黏膜,包括角化和非角化黏膜;复发性病损多见于唇部或口周皮肤。
Q:本病需要与哪些疾病相鉴别?
原发性疱疹性龈口炎与其他疾病的鉴别要点,见表1。
表1 原发性疱疹性龈口炎与其他疾病的鉴别诊断

Q:单纯疱疹的治疗原则是什么?
1.发病早期及时、足量使用抗病毒药物,原则上禁用糖皮质激素。
2.局部注意消毒防腐,控制继发感染,促进糜烂愈合。
3.增强机体免疫功能。
4.对症和支持疗法。
Q:治疗单纯疱疹的常用药物有哪些?
(一)局部用药
1.溶液剂
(1)复方氯己定含漱液(compound chlorhexidine solution)
(2)复方硼砂溶液(compound borax solution)
(3)依沙吖啶溶液(ethacridine solution)
(4)聚维酮碘含漱液(povidone iodine solution)
(5)过氧化氢溶液(hydrogen peroxide solution)
2.口含片
(1)利巴韦林含片(ribavirin buccal tablets)
(2)西地碘含片(cydiodine buccal tablets)
(3)西吡氯铵含片(cetylpyridinium chloride buccal tablets)
(4)氯己定含片(chlorhexidine buccal tablets)
(5)溶菌酶含片(lysozyme buccal tablets)
3.凝胶剂
(1)重组人表皮生长因子凝胶(recombinant human epidermal growth factor hydrogel)
(2)重组牛碱性成纤维细胞生长因子凝胶(recombinant bovine basic fibroblast growth factor gel)
4.喷雾剂
(1)重组人表皮生长因子喷剂(recombinant human epidermal growth factor spray)
(2)重组人干扰素α-2b喷雾剂(recombinant human interferon α-2b spray)
5.膏剂(治疗唇疱疹)
(1)阿昔洛韦软膏(aciclovir ointment)
(2)喷昔洛韦乳膏(penciclovir cream)
(3)酞丁安软膏(ftibamzone ointment)
6.中成药散剂
(1)锡类散
(2)养阴生肌散
(3)西瓜霜粉剂
(二)全身用药
1.抗病毒药
(1)核苷类抗病毒药:阿昔洛韦(aciclovir)、伐昔洛韦(valaciclovir)、泛昔洛韦(famciclovir)、更昔洛韦(ganciclovir)。
(2)利巴韦林(ribavirin)
(3)阿糖腺苷(vidarabine)
2.免疫增强剂
(1)匹多莫德(pidotimod)
(2)转移因子(transfer factor)
(3)聚肌苷酸-聚胞苷酸(polyinosinic acid-polycytidylic acid)
(4)卡介菌多糖核酸(BCG-polysaccharide and nucleic acid)
(5)胸腺肽(thymosin)
3.镇痛药
(1)布洛芬(ibuprofen)
(2)双氯芬酸钠(diclofenac sodium)
(3)阿司匹林(aspirin)
4.维生素类
(1)维生素C(vitamin C)
(2)复合维生素B(compound vitamin B)
5.中成药
(1)口炎颗粒
(2)抗病毒颗粒
(3)板蓝根颗粒
Q:如何制订本病的治疗方案?
(一)局部用药
1.消毒防腐制剂 复方氯己定含漱液,含漱或稀释后清洗患儿口腔,3次/日;或1%~3%过氧化氢溶液,含漱,3次/日。
2.局部抗病毒药 利巴韦林含片,含服,50mg/次,4~6次/日;或西吡氯铵含片,含服,2mg/次,3~4次/日。
3.生物制剂 重组人表皮生长因子凝胶或重组牛碱性成纤维细胞生长因子凝胶,涂布患处,1次/日;或重组人表皮生长因子喷剂,喷涂患处,1~2次/日;或重组人干扰素α-2b喷雾剂,喷涂患处,1~2次/日。
4.对于复发性唇疱疹患者,可选阿昔洛韦软膏,或喷昔洛韦乳膏,或酞丁安软膏,涂布患处,3次/日。
(二)全身用药
1.抗病毒药
阿昔洛韦片,口服,200mg/次,5次/日,或400mg/次,3次/日;或伐昔洛韦片,口服,1000mg/次,2次/日;或利巴韦林片,口服,300mg/次,3次/日。病情严重者,可使用阿昔洛韦注射液稀释后缓慢静脉滴注(持续1~2小时),一次用量5mg/kg,3次/日。
2.免疫增强剂
若患者免疫力低下,可使用免疫增强剂,可选匹多莫德片,口服,800mg/次,2次/日;或转移因子胶囊,口服,6mg/次,3次/日;或聚肌苷酸-聚胞苷酸注射液,肌内注射,2mg/次,隔日1次。
3.对症和支持疗法
疼痛明显者可给予解热镇痛药,布洛芬缓释胶囊,口服,0.3~0.6g/次,2次/日;也可选双氯芬酸钠或阿司匹林口服。
4.酌情选用中成药
抗病毒颗粒,冲服,12~24g/次,3次/日;或板蓝根颗粒,5~10g/次,3次/日。
(三)物理治疗
1.对较大糜烂病损,可采用超声雾化治疗,配伍药物可选庆大霉素注射液1ml+地塞米松注射液1ml+糜蛋白酶5mg,混匀后超声雾化吸入,1~2次/日。
2.对复发性唇疱疹,可采用氦氖激光治疗,局部照射点功率密度100mW/cm2,照射时间为1~2分钟/次,1次/日。
【预后】
1.预后一般良好。
2.极少数播散性感染的患者可引起疱疹性脑膜炎。
3.如有诱因存在,可反复发作。
【预防】
1.单纯疱疹病毒可经口-呼吸道传播或通过接触病灶传染,应避免接触婴幼儿及免疫功能低下的人群。
2.保持口腔卫生。
3.提高机体免疫功能,加强锻炼和营养,避免劳累、熬夜、不良情绪等。