男,23岁,发现右颈部搏动性肿物3年余。CT检查提示,右侧口咽间隙巨大肿块,考虑纤维血管瘤与神经源性肿瘤相鉴别。B超示:右侧颈动脉分叉处混合性包块,考虑颈动脉体瘤可能。
【影像学表现】
CT:右侧口咽旁可见一软组织肿块影,呈类圆形,约5.3cm×4.3cm×8.3cm(左右径×前后径×上下径),边界清晰,平扫呈等、低混合密度(图1A)。增强扫描后肿块明显强化(图1B~E),病变包绕颈总动脉及颈内外动脉分叉起始部生长,推压口咽腔向左侧移位。CTA示右侧颈总动脉及颈内动脉管径明显增粗,颈内、外动脉分叉角度增大(图1F)。
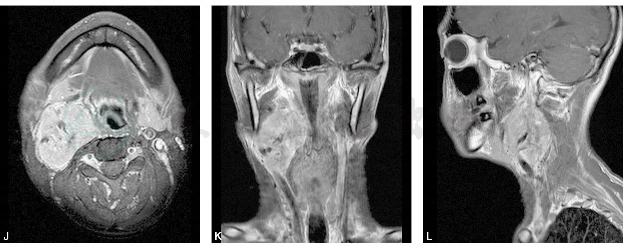
MRI:右侧口咽旁见一肿块影,边界清,呈浅分叶状,T1WI、T2WI均呈等信号为主混合信号,其内可见长T1短T2点状及条状流空血管影,呈“胡椒盐”征(图1H~J)。动态增强病变实性部分呈渐进性强化(图1K~L)。右侧口咽旁间隙受压向内侧推移,右侧颈总动脉及颈外动脉近段被肿块包绕,右侧颈内静脉明显受压变扁并向右侧移位。
引自:主编:.头颈部疑难病例影像诊断.第1版.ISBN:978-7-117-19880-6
图1 咽旁颈动脉体瘤
A.横轴位平扫;B.横轴位动脉期增强;C.横轴位静脉期增强;D.冠状位增强;E.矢状位增强;F. CTA重建图;G. T1WI横轴位平扫;H. T2WI横轴位平扫;I. T2WI脂肪抑制冠状位;J. T1WI横轴位增强;K. T1WI冠状位增强;L. T1WI矢状位增强
引自:主编:.头颈部疑难病例影像诊断.第1版.ISBN:978-7-117-19880-6
【手术所见】
颈部Ⅲ区胸锁乳突肌前缘切开,逐渐分离肿块,见肿物呈暗紫色,血供极其丰富,肿块约7.0cm×6.0cm×5.0cm,表面光滑,活动度可,与周围组织无粘连。颈内静脉、颈总动脉、迷走神经、颈外动脉与肿物粘连。逐渐孤立肿物,分离颈总动脉、颈外及颈内动脉,沿肿块边界切除肿物,结扎沿途分支血管,术后冲洗术区,放置负压引流条。
【病理】
右侧颈动脉体肿物,符合副神经节瘤,免疫组织化学:Syn(+),NSE(+),CgA(+)、Ki-67约7%,S-100支持细胞(+)。



