案例诊断
颌部肌上皮细胞瘤
病例摘要
女,4岁,右颌面部肿胀不适3个月余,无伴红肿发热等其他症状,查体病灶边界不清,检查不满意。
【影像学表现】
右上颌骨骨质膨胀,上颌窦腔内见软组织肿块3.2cm×3.7cm×3.8cm,密度不均匀,增强扫描不均匀强化,内见斑片状无强化坏死区,右上颌骨前壁、后壁部分骨质不连续(图1)。
引自:主编:.头颈部疑难病例影像诊断.第1版.ISBN:978-7-117-19880-6
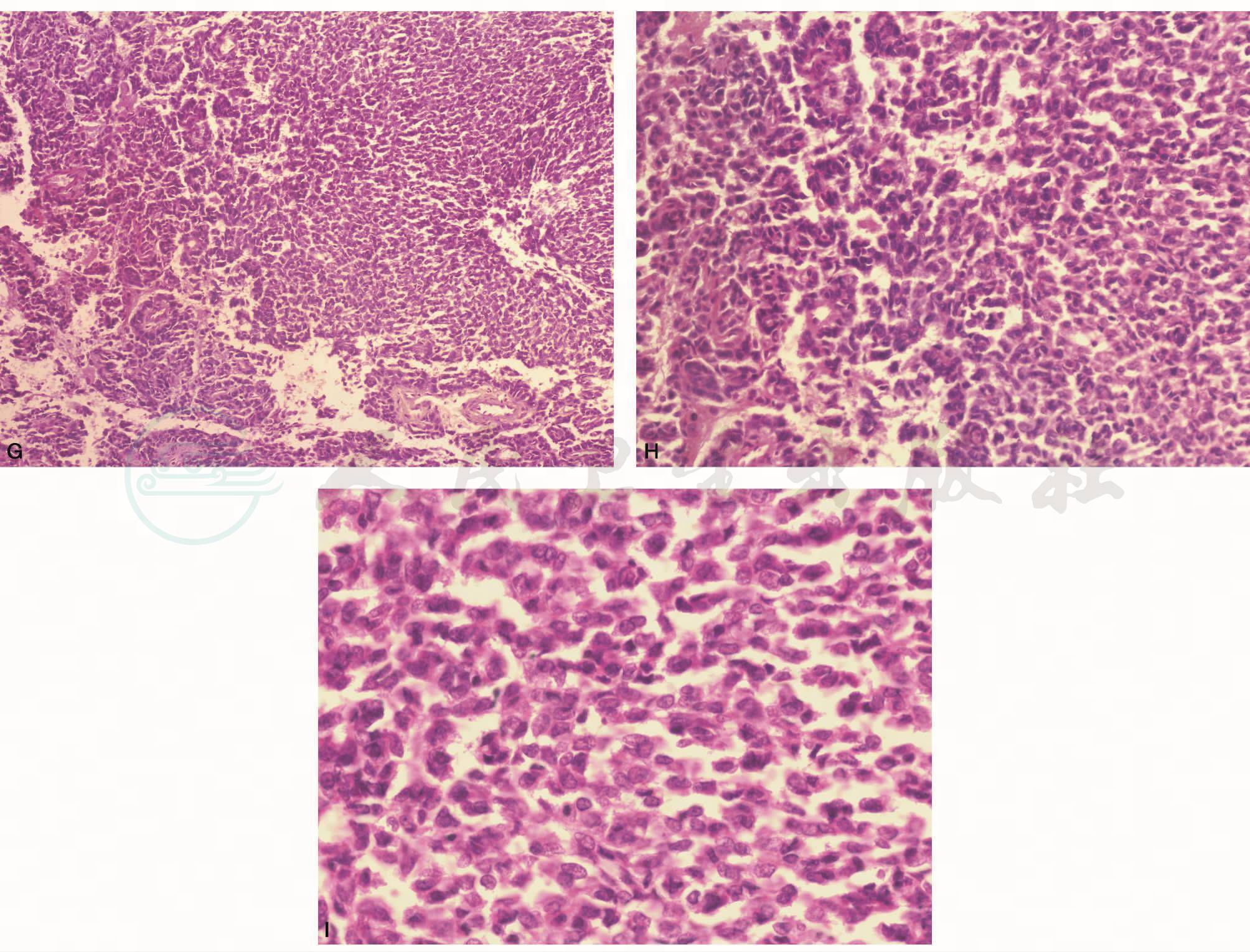
图1 颌部肌上皮细胞瘤
A~C.横断位CT平扫;D~F.横断位CT增强;G. HE×10;H. HE×20;I. HE×40
引自:主编:.头颈部疑难病例影像诊断.第1版.ISBN:978-7-117-19880-6
此内容为收费内容
治疗过程
【手术所见】
于右侧颊部切开牙龈颊沟黏膜,至右侧上颌骨前壁,见肿物主要位于右侧上颌窦内,上颌窦前壁、后壁骨质破坏,窦腔内见大量组织,与周围组织分界清楚,将肿块完整切除。
【病理】
右上颌骨肌上皮细胞瘤。免疫组织化学:CK(+),SMA(+),P63(+),Kī67(<5%+),S-100(-),EMA(-)。



