案例诊断
上颌窦恶性纤维组织细胞瘤
病例摘要
男,28岁,左侧颌面不适2个月余。
【影像学表现】
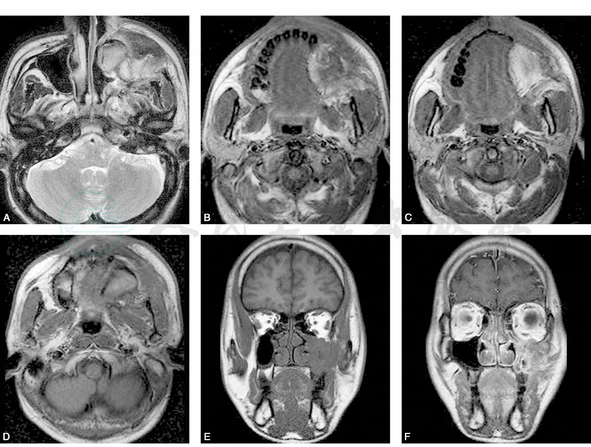
左侧上颌窦腔内填充软组织肿块,T2WI图像上呈等、稍高信号(图1A),T1W图像上呈等、稍高信号(图1B~E),增强后肿块中度不均匀强化(图1F~H);左侧眶下壁、上颌窦前、后及内侧壁不同程度骨质破坏,肿块向前侵及左面部皮下软组织,向后侵及翼腭窝,左眶内下缘见少许软组织影,眼球及附属组织未见异常信号。左侧乳突气房减少,部分气房内黏膜增厚;颅底结构未见异常。诊断:①左侧上颌窦软组织肿块,考虑恶性肿瘤;侵及上颌窦骨壁及翼腭窝。②左侧乳突炎症。
引自:主编:.头颈部疑难病例影像诊断.第1版.ISBN:978-7-117-19880-6
图1 上颌窦恶性纤维组织细胞瘤
A. T2W横断面;B. T1W横断面:C. T1W横断面;D. T1W横断面;E. T1W冠状面;F. T1W增强冠状面;G. T1W增强横断面;H. T1W增强横断面;I. HE×200
引自:主编:.头颈部疑难病例影像诊断.第1版.ISBN:978-7-117-19880-6
此内容为收费内容
治疗过程
【手术所见】
在左上颌第1磨牙区行切开黏膜至骨膜,用锐利骨钻在牙尖窝骨壁最薄处钻孔,用咬骨钳扩大,见上颌窦内肿物质中,不易出血,切取左侧上颌骨肿瘤送病理。肉眼观察肿瘤包膜不完整,切面呈淡红或浅白色,似鱼肉状。
【病理】
镜下见组织学改变呈多样化,肿瘤主要成分为成纤维细胞及组织细胞,部分肿瘤细胞常呈车辐状排列;部分细胞异型明显,核呈空泡状。诊断:符合恶性纤维组织细胞瘤。



