案例诊断
筛窦恶性黑色素瘤
病例摘要
男,56岁,左侧鼻塞半年,左眼球突出1个月。查体:左侧眼球稍突出,活动正常,左侧鼻腔顶见淡红色肿物,右侧鼻腔通畅。
【影像学表现】
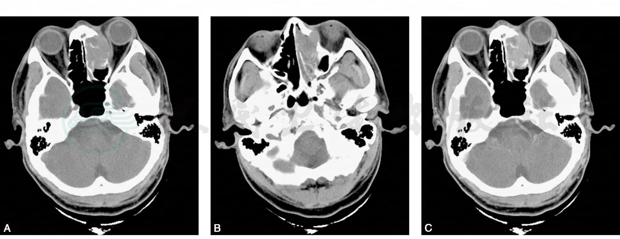
平扫横断面(图1A、B)示左侧筛窦内可见不规则软组织肿物,密度不均匀,左侧筛窦蜂房可见骨质破坏,肿物内可见条状残留骨质,肿物向左突入眼眶,左眼内直肌受压,向下侵犯左侧上颌窦。增强横断面(图1C、D)示肿物可见明显强化。骨窗横断面(图1E、F)示筛窦、眼眶内侧壁及上颌窦内侧壁可见骨质破坏。
引自:主编:.头颈部疑难病例影像诊断.第1版.ISBN:978-7-117-19880-6
图1 筛窦恶性黑色素瘤
A~B.平扫横断面;C~D.增强横断面;E~F.骨窗横断面;G.HE×200
引自:主编:.头颈部疑难病例影像诊断.第1版.ISBN:978-7-117-19880-6
【病理】
肿瘤细胞呈圆形或不规则形,细胞有异型,可见核分裂,细胞呈片状排列,结合免疫组化考虑恶性黑色素瘤。免疫组织化学:CK(-),Vim(+),S-100(+),HMB45(+),LCA(-),CEA(-)。
此内容为收费内容



