案例诊断
鼓室副神经节瘤
病例摘要
女,64岁,7年前无明显诱因出现左耳鸣,呈轻微持续“唧唧”样高调声音,伴间歇性耳鸣,无伴耳痛、耳流脓、渗出,无听力下降,无头痛、恶心、呕吐等不适。1年前自觉耳鸣音改变,呈跳动样“唧唧”音,同心跳、脉搏不一致。当地多次治疗症状改善不明显。2个月前无明显诱因出现左耳听力下降,伴耳鸣突出明显。专科检查:左鼓室周边明显充血,鼓膜明显搏动。
【影像学表现】
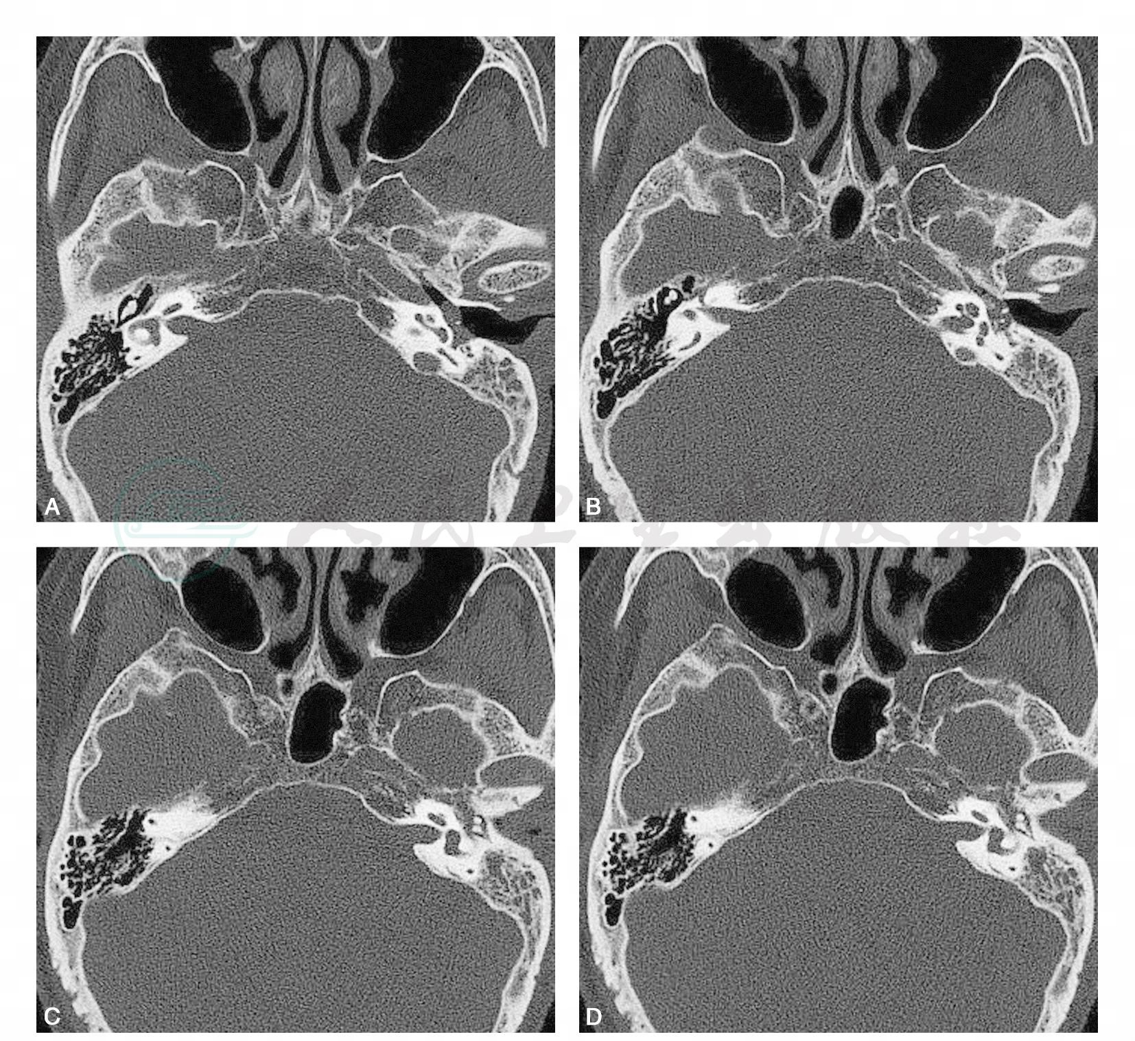
左侧鼓室内近鼓膜处见软组织样密度影,约1.0cm×0.5cm,包绕部分听小骨约相当于镫骨,内侧紧邻耳蜗,向后与颈静脉孔前壁分界清晰。影像诊断:鼓室球瘤;炎性肉芽肿(图1)。
图1 左鼓室副神经节细胞瘤
A~D.颞骨高分辨CT横断面
引自:主编:.头颈部疑难病例影像诊断.第1版.ISBN:978-7-117-19880-6
【手术所见】
鼓膜完整稍膨隆,呈均匀深红色,可见搏动。鼓膜菲薄,掀起见肿物呈均匀深红色,质软、表面光滑,有搏动,易出血。
此内容为收费内容
病理
左鼓室副神经节细胞瘤。免疫组织化学:Syn(+),NSE(+),CgA(+),S-100(+),CD34(-),Actin(-)。



