当这位66岁的男性患者因间断发作胸痛于2005年8月25日就诊于我院(中国医学科学院阜外医院)门诊时,首先让人想到的是冠心病,因为其胸痛症状呈典型的心绞痛特点,开始表现为较重的体力活动如上5层楼时,发作胸骨后压迫样疼痛,休息5~10分钟缓解。这种症状间断发作已经4年,近1个月有所加重,较轻的体力活动,如日常步行300米或快走时即有发作。患者既往有高血压史(已15年),曾于15年前发生脑梗。门诊心电图(图1)显示窦性心律,左室高电压,ST-T改变(Ⅰ、aVL、V4~V6导联ST段下移0.05~0.10mv,T波直立)。体检时在胸骨左缘3~4肋间听到了Ⅲ/6级收缩期吹风样杂音,这让接诊的医生提高了警惕,因为可导致心绞痛症状的疾病,除冠心病外,还有主动脉瓣狭窄和梗阻性肥厚型心肌病等,特别是在有心脏杂音的情况下。因此进行了超声心动图检查,结果显示:室间隔增厚,最厚25mm,而左室后壁厚度为9mm,左心房37mm、左心室舒张末内径43mm、LVEF 64%,二尖瓣前叶部分SAM现象,致使左室流出道内径狭窄及二尖瓣关闭欠佳,左室流出道的最高压差为88mmHg,同时发现主动脉瓣轻度增厚,交界区轻度钙化,但主动脉瓣未见明显狭窄和关闭不全。这证实了初诊医生的临床思路。初步诊断为“梗阻性肥厚型心肌病;高血压病;陈旧性脑梗;冠心病?”为进一步诊治收住院。家族中无类似疾病或猝死患者。

图1 心电图(2005年8月25日首次就诊时)
入院时查体
BP 130/70mmHg,HR 70次/分,律齐,心脏杂音同前述。双肺呼吸音清楚,无干湿性啰音。无颈静脉怒张、肝脾肿大和下肢水肿。入院后完善了实验室和影像学检查,心脏远达片示:双肺纹理正常,主动脉结凸,肺动脉段平直,左心房稍大,心胸比0.51。心脏MRI检查进一步明确了心肌肥厚的范围和程度:室间隔大部及前壁基底段增厚,室间隔近段最厚(25~26mm),左室流出道有收缩期梗阻征象。虽然单纯的梗阻性肥厚型心肌病就能够解释患者心绞痛的发作,但是此患者有明确的冠心病危险因素,是否还有别的病因?因此,为了判断有无合并冠心病,2005年9月13日进行了冠状动脉造影和左室造影,结果显示:冠状动脉双支病变,累及前降支和右冠状动脉,前降支近端斑块,中端近段80%局限偏心狭窄、中段管状偏心狭窄60%,远端管状狭窄70%,第一对角支开口局限偏心狭窄90%;右冠状动脉近端和中端均散在斑块,左室后侧支中段狭窄70%。左室造影显示(图2):左室流出道压差70mmHg。

图2 左室造影结果(2005年9月13日)

图11 2007年10月30日复查心电图
针对该患者的病情,有效地缓解缺血发作导致的胸痛症状,预防心肌梗死、心力衰竭和猝死是治疗的主要目标。由于患者病因的特点,在梗阻性肥厚型心肌病合并冠心病的情况下,治疗的选择既要考虑两者各自的特点,也要考虑两者治疗的相互影响。
针对该患者冠心病的治疗,其基本的治疗药物包括抗血小板药如阿司匹林、氯吡格雷等,硝酸酯类药物,β受体阻滞剂,钙拮抗剂和他汀类药物。但在合并梗阻性肥厚型心肌病的情况下,硝酸酯类药物和二氢吡啶类钙拮抗剂因能加重左室流出道梗阻而不能用,所以,只能选择阿司匹林、β受体阻滞剂和他汀类药物。根据其血管病变的特点,前降支中段和第一对角支分别有80%和90%狭窄病变,故有介入治疗的指征。由于是双支病变,并无外科手术的指征。
而对于梗阻性肥厚型心肌病的治疗,其药物治疗的选择主要是应用β受体阻滞剂,以降低心肌收缩力,从而降低左室流出道压力阶差,降低心肌耗氧量,降低猝死发生率,并缓解胸痛症状。该患者选用了美托洛尔12.5mg bid。在有β受体阻滞剂禁忌证的患者,如合并COPD或支气管哮喘者,可以选用非二氢吡啶类钙拮抗剂,如维拉帕米、地尔硫䓬,其作用机制也是降低心肌收缩力,降低左室流出道压差。在合并高血压和冠心病心绞痛时,凡可能加重左室流出道梗阻的药物应禁用或慎用。在该患者,尽管合并冠心病和高血压,药物治疗的选择上只应用了阿司匹林100mg qd,美托洛尔12.5mg bid和辛伐他汀20mg qn治疗。在药物治疗之外,还有介入治疗(即经皮室间隔化学消融术)和外科手术治疗(左室流出道疏通术)的选择。当左室流出道压力阶差超过50mmHg且有明显症状,若药物治疗不能缓解症状,可以选择介入治疗或外科手术治疗。一般首选外科手术治疗,在有手术禁忌证而不能手术或不愿外科手术的患者,则选择介入治疗。
该患者在口服阿司匹林100mg qd,美托洛尔12.5mg bid和辛伐他汀20mg qn治疗1月后,尽管心率已降至50~60次/分,仍然有活动时胸痛。有外科手术适应证,没有明确禁忌证,故于2005年10月18日在体外循环下进行“冠状动脉旁路移植术+左室流出道疏通术”,术中见二尖瓣结构大致正常,二尖瓣反流以左室流出道压力高为主要原因,而不需处理。切除左心室室间隔部分心肌2cm×3cm×1cm。2支桥血管分别为LIMA至前降支、主动脉-大隐静脉桥-第一对角支。
手术效果评价
(1)术中经食管超声显示
术后左室流出道梗阻消失、SAM现象消失、二尖瓣反流由中量变为少量。经胸超声心动图变化:室间隔厚度较术前明显减小,最厚处16mm,左室流出道内径在正常范围,狭窄明显减轻。左房前后径36mm,左室舒张末前后径53mm,左室射血分数55%。
(2)手术前后的心电图变化
术前(图3)心电图显示窦性心动过缓,左室高电压和ST-T改变。术后(图4)呈完全性左束支阻滞图形。

图3 术前心电图:窦性心律,左室肥大,ST-T异常

图4 “冠状动脉旁路移植术+左室流出道疏通术”后第1天心电图(电压是1mV=5mm):窦性心律,完全性左束支阻滞
病理检查结果
室间隔心内膜纤维性增厚,心肌细胞肥大、排列紊乱。
结合临床表现和超声心动图等检查结果,手术是成功的,达到了预期的治疗效果:左室流出道梗阻解除了,成功实现了冠脉血运重建。患者胸痛症状完全缓解。那么今后该如何治疗以保持长期的治疗效果呢?
【长期治疗和病情变化】
在成功进行“冠状动脉旁路移植术+左室流出道疏通术”后,其长期治疗的目标是:预防冠脉病变的进展和发生急性冠脉事件,主要是口服阿司匹林和他汀类药物;预防肥厚型心肌病可能造成的猝死,主要是口服β受体阻滞剂;在左室流出道梗阻已解除的情况下,在没有禁忌证如血压不低(收缩压高于100mmHg)、肾功能正常的情况下,还可以口服ACEI/ARB类以预防心室重构的进展。
1.该患者术后口服如下药物
阿司匹林100mg qd、美托洛尔25mg bid、辛伐他汀20mg qn。因血压偏低,未服ACEI/ARB,患者因担心不良反应而自行停用了他汀类药物。
2.术后半年复查超声心动图
(2006年4月6日)示左房前后径35mm,左室舒张末前后径51mm,左室射血分数60%。室间隔厚度12mm,最厚处15mm,较术前明显减轻。左室流出道血流速度2.7m/s,较术前明显减低,最高压差29mmHg。可见,患者的左室流出道梗阻得到了有效解除和长期维持。
3.病情变化
手术1年后,2006年11月14日,患者再次发作持续性胸痛伴大汗,急诊于我院,急查心肌酶升高,故诊断“急性心肌梗死”。而当时的心电图(图5)因术后呈完全性左束支阻滞图形而难以提供明确的诊断信息。

图5 急诊首份心电图(2006年11月14日)
急诊冠脉造影示“左主干+三支病变”(图6):左主干分叉处50%狭窄,前降支中端弥漫偏心狭窄90%,回旋支中端局限狭窄50%,右冠中端100%闭塞。至前降支的LIMA桥血管有粥样硬化斑块,至第一对角支的静脉桥血管通畅。成功在右冠植入支架1枚,右冠恢复TIMIⅢ级血流(图7)。左室造影(图8)则显示下壁运动消失,未见左室流出道梗阻。术后心电图(图9)与术前无显著变化,由此可知,由于外科术后心电图呈完全性左束支阻滞图形,使得急性心肌梗死时心电图不能显示心肌梗死的演变图形,需借助症状和心肌酶来明确诊断。


图6 冠脉造影结果

图7 急诊“右冠状动脉支架植入术”前后

图8 左室造影结果

图9 2006年11月16日心电图(急性心肌梗死行急诊PCI术后2天)
进一步行超声心动图评价:左房内径41mm,左室舒张末内径48mm,左室射血分数55%,室间隔增厚16mm,运动和收缩幅度明显减低,左室流出道血流速度大致正常。X线胸片显示两肺纹理大致正常,未见实变;主动脉结宽;肺动脉段平直;左室圆隆。
显然,尽管在“冠状动脉旁路移植术+左室流出道疏通术”1年后发生了急性心肌梗死,及时的急诊冠脉介入治疗有效保护了心肌,患者的心功能得到了较好的保护。而追寻发生心肌梗死的原因,可能与患者不口服他汀类药物有关。
4.心肌梗死以后的治疗和随诊
在这次急性心肌梗死和急诊冠脉介入治疗术后,治疗药物进行了调整。加强了抗血小板药物;根据心率偏快和血压偏高的情况,增加了β受体阻滞剂的剂量,并加用了ACEI类药物,以预防心室重构,预防猝死,改善预后;口服硝酸酯类,尽管对梗死相关的右冠状动脉进行了成功的血运重建,左回旋支还有50%的狭窄病变;强化他汀类药物治疗。
(1)长期服药:口服阿司匹林300mg qd,3个月后减为100mg qd;波立维75mg qd,1年后停用;酒石酸美托洛尔37.5mg bid,后换用比索洛尔2.5mg qd;福辛普利10mg qd,因咳嗽不良反应而换用缬沙坦80mg qd;硝酸异山梨酯(消心痛)15mg tid,后换用5-单硝酸异山梨酯20mg bid,阿托伐他汀20mg qn等治疗。
(2)长期维持血压在100~110/60~70mmHg,心率50~60次/分。日常活动无胸痛、心悸、气短等不适症状。
(3)心电图(图10~图15):每半年复查一次,均示窦性心律,完全性左束支阻滞。

图10 2007年5月7日复查心电图

图11 2007年10月30日复查心电图

图12 2009年6月12日复查心电图

图13 2010年7月16日心电图复查

图14 2011年1月4日心电图

图15 2013-4-15心电图
(4)超声心动图随诊结果:患者术后坚持规律药物治疗,定期随诊,历次超声心动图测量结果见表1。
表1 术前至术后8年间随访超声心动图测量结果

注:LA左心房,LVEDD左室舒张末内径,LVEF左室射血分数,IVS室间隔,LVOT左室流出道,AR主动脉瓣反流,MR二尖瓣反流
由8年的随访结果可见,对于梗阻性肥厚型心肌病,在外科手术成功切除造成左室流出道梗阻的室间隔的部分肥厚心肌后,左室流出道一直保持通畅,未再出现狭窄和梗阻,虽有少中量二尖瓣反流,但SAM现象消失,有少中量主动脉瓣反流,但左心室大小一直维持正常,有左室舒张功能降低(E/ A比值小于1),但收缩功能一直正常。而对于合并的冠心病,尽管早期进行了冠状动脉旁路移植手术,在没有坚持口服他汀类药物治疗的情况下,1年后即发生了急性心肌梗死,冠脉造影显示冠状动脉粥样硬化病变有明显进展,原来轻度狭窄的病变进一步加重,而原来没有狭窄病变的血管如左主干和回旋支也出现了狭窄病变,而在急诊介入治疗之后,坚持了冠心病心肌梗死后的规范治疗,既没有再次发生急性冠脉事件,也没有出现心脏扩大和心力衰竭。因此,对于梗阻性肥厚型心肌病合并冠心病的治疗,既要针对肥厚型心肌病选择合适的药物和手术治疗,也要针对冠心病坚持合适的药物和介入及手术治疗。
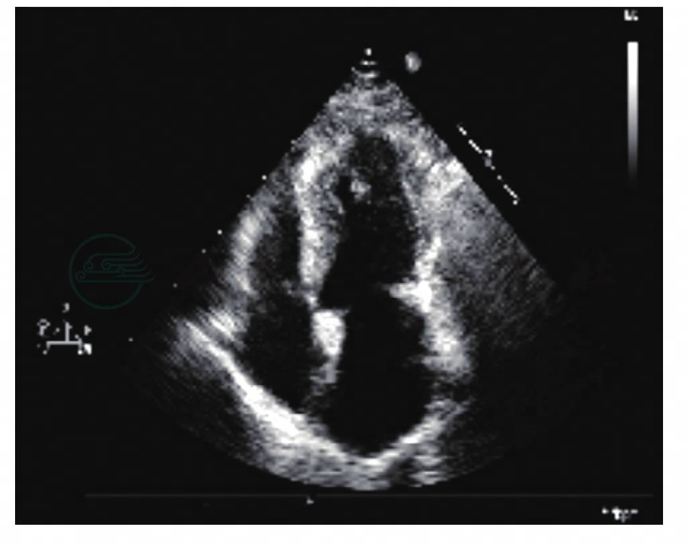
最近一次超声心动图(图16)显示左房轻度增大,余房室内径正常,室间隔基底段厚约22mm(与此前两次复查结果比较略有增厚),左室流出道内径较术前明显增宽,主动脉瓣缘散在钙化,累及瓣环,开放尚可,关闭欠佳,余瓣膜结构未见明显异常。心包腔未见异常。多普勒检查,左室流出道血流速度较术前明显减低,峰值流速2.0m/s,峰值压差约16mmHg。主动脉瓣少量反流,二尖瓣少中量反流信号。舒张期二尖瓣血流频谱E/A比值小于1。


图16 2013-10-11超声心动图
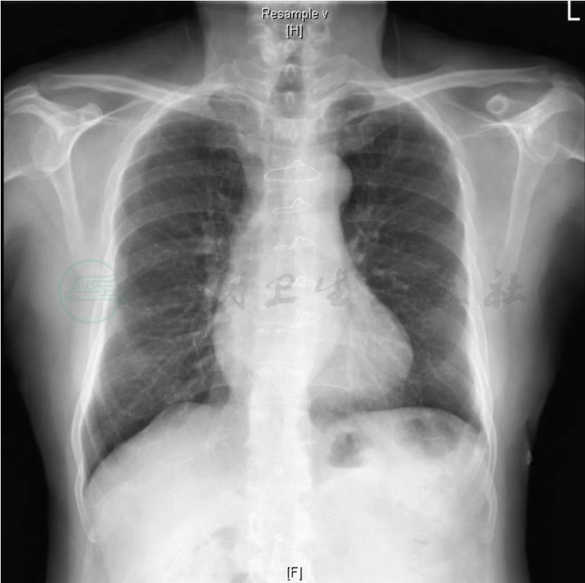
最近一次胸部X线检查(图17)显示:两肺纹理大致正常,未见实变;主动脉结偏宽,边缘少许钙化;肺动脉段平直;左室圆隆;心胸比0.52。

图17 2013-9-10心脏远达片



