乔兴茂
关键词
外伤;颈动脉血栓;脑梗死
病例简介
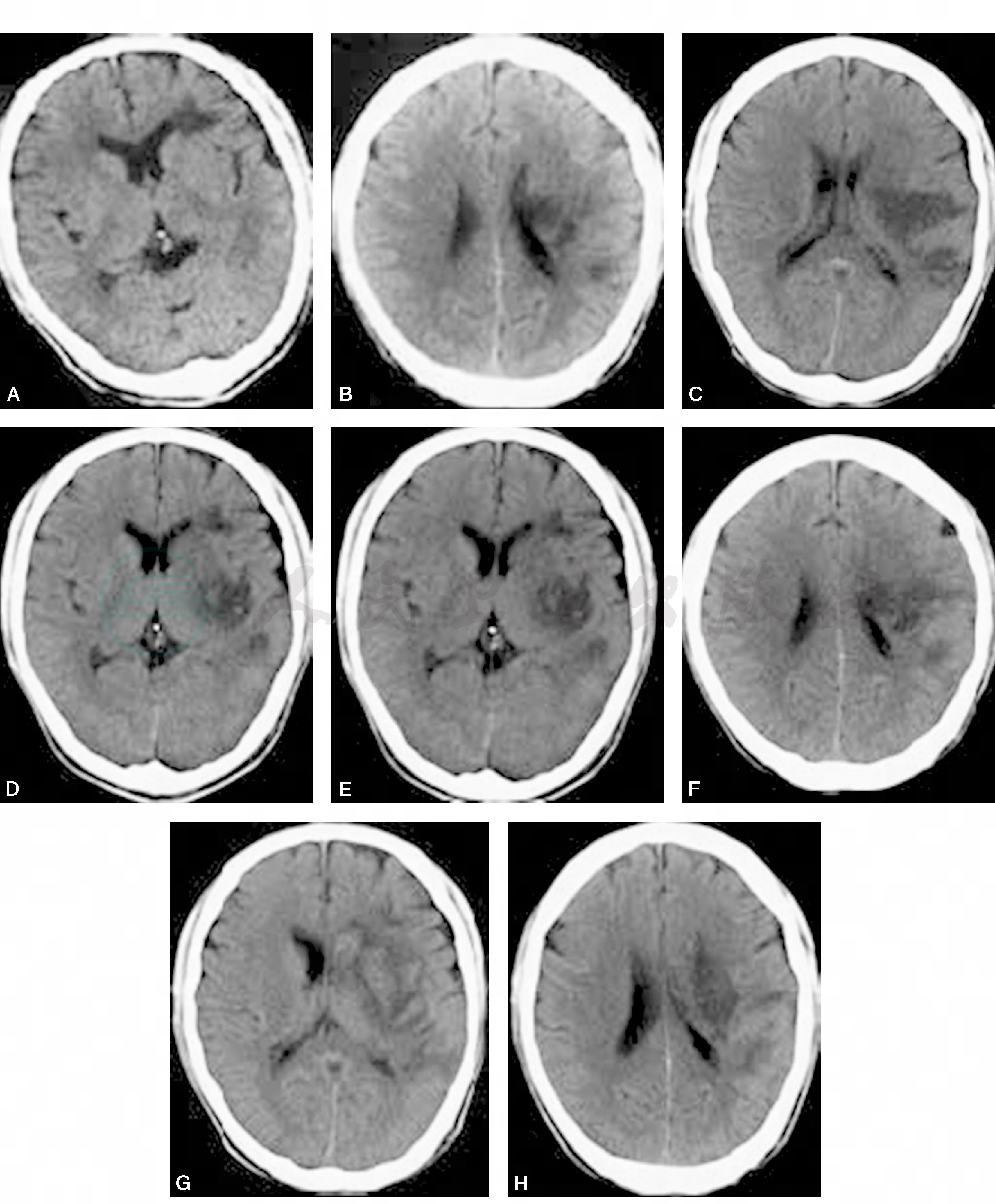
患者男,68岁,因“突发右侧肢体活动不灵伴言语不清2小时”于2008年12月7日收入我院神经内科。起病前2小时有反复扛重物史。既往无高血压、糖尿病及冠状动脉粥样硬化性心脏病史。查体:血压120/80mmHg,颈总动脉、椎动脉、锁骨下动脉听诊区未闻及杂音。右侧中枢性面、舌瘫,右侧上下肢肌力3级,左侧5级。右侧足趾反射中性,左侧足趾反射阳性。窦性心律,心率55次/分,心电图无缺血改变。发病后1.5小时颅脑CT示左侧侧脑室前角外侧陈旧性软化灶(图1)。诊断为脑梗死,给予口服阿司匹林100mg/d,阿托伐他汀20mg/d,葛根素0.6g/d静滴等治疗,病情平稳无加重。发病后次日颅脑CT示左侧纹状体、侧脑室体旁和皮层多发梗死灶(图1),考虑栓子脱落所致,给予达肝素钠(法安明)5000U/d皮下注射,病情同入院时比较无明显变化。发病后第4天病情突然加重,呈嗜睡状态,完全性失语,右侧上下肢肌力0级,复查颅脑CT示左侧大脑中动脉(left middle cerebral artery,LMCA)分布区梗死灶较前增多(图1),考虑为栓子继续脱落所致。为了明确栓子来源,发病后第4天做颈部血管彩超显示左侧颈内动脉开口处有一随血流搏动、被冲击欲坠落的稍低回声影像,超声诊断为新鲜血凝块(图2)。发病后第5天做颈部血管彩超显示左侧颈内动脉开口处漂浮的血凝块全部消失,血凝块全部脱落。继续给予法安明抗凝,加用适量甘露醇脱水、依达拉奉注射液清除自由基等治疗,发病后第10天颅脑CT示LMCA分布区梗死灶融合成片(图1)。发病后第23天行头颈部CTA未见颅内外血管狭窄及斑块(图3)。患者经治疗后病情逐渐平稳出院。

图1 外伤性颈动脉血栓栓塞性脑梗死患者颅脑CT表现
A.发病后1.5小时示左侧侧脑室前角外侧软化灶;B~D.发病后1日示左侧纹状体、侧脑室体旁和皮层多发梗死灶;E、F.发病后4日示左侧大脑中动脉分布区梗死灶较前增多;G、H.发病后10日示左侧大脑中动脉分布区梗死灶融合成片

图2 外伤性颈动脉血栓栓塞性脑梗死患者颈部血管彩色超声表现
A.示左侧颈总动脉内膜轻度增厚;B~D.示左侧颈内动脉开口处有一漂浮血凝块


图3 外伤性颈动脉血栓栓塞性脑梗死患者CTA表现
A~D.颈总动脉、颈内动脉和椎动脉颅外段;F.基底动脉、大脑中动脉、大脑前动脉、颈内动脉和椎动脉颅内段
讨论
该患者起病前2小时有扛重物史,重物对左侧颈内动脉不断挤压,而且在扛重物时,颈部有过度强力后仰及侧屈动作,使左侧颈内动脉压在第3颈椎横突上,造成血管壁和内膜的损伤形成血凝块,血凝块不断脱落进入LMCA后,暂时停留在LMCA水平段,堵塞穿支血管,很快栓子自溶,形成皮层及皮层下的多发栓塞灶。之所以LMCA分布区有很多地方没有受累,不是因为血管代偿,而是因为LMCA很快再通,LMCA主干对栓子的清除能力比较强。左侧纹状体之所以完全梗死,是因为栓子嵌顿在LMCA水平段,堵塞了豆纹动脉,这时候即使LMCA很快再通,但是因为小血管完全堵塞或者小血管代偿能力不佳或者小血管血栓清除能力非常低,所以造成纹状体完全梗死。发病后第5天复查颈部血管彩超左侧颈内动脉开口处漂浮血凝块消失,血凝块全部脱落。同时做心脏彩超及双下肢彩超均未见异常,更进一步证明栓子不是来源于心脏。
发病后23日病情好转后做头颈部CTA未见颅内外血管狭窄及斑块,说明患者为非动脉粥样硬化性脑梗死,进一步说明栓子来源为颈内动脉开口处漂浮的血凝块,脑梗死的发病机制为血凝块脱落造成的动脉到动脉的栓塞。
流行病学及发病机制
1872年Verneuil首次报道颈部外伤后颈动脉血栓形成和脑梗死病例。近几年来,由于影像技术的飞速发展,外伤后颈动脉血栓形成致脑梗死的报道逐渐增多。颈动脉外伤分为贯通伤及钝挫伤两种。贯通伤多十分严重,可引起失血性休克等,因而易受到外科医生的重视。而钝挫伤多为闭合性,体表症状和体征轻,又多为迟发性表现,在诊断和治疗时易受到忽视。颈动脉内膜损伤原因多见于钝挫伤,可由坠落伤、车祸伤、颈部扼伤、挥鞭样损伤、打击伤、颈部挤压伤等多种原因造成,尤其是颈部挤压伤容易被患者和医生忽视。上述钝挫伤都可以造成外伤性颈动脉血栓而致脑梗死。
外伤后颈动脉血栓形成导致脑梗死的机制有:①颈部血管内膜损伤以内膜撕裂及挫伤为主,系因血管在外力作用下过度牵拉、挤压、屈曲、扭转所致,尤其在颈内动脉经过枢椎侧块或第三颈椎横突等骨性结构时更易受损。上述外力破坏血管内膜的完整性,形成粗糙面,基质暴露,血小板附壁,形成附壁血栓。大的附壁血栓可闭塞血管致脑梗死。小的附壁血栓可不断脱落,脱落的栓子可随血流漂至较细小血管造成脑栓塞,其机制为颈动脉外伤性非动脉硬化性动脉到动脉栓塞。有时也可能是因颈总动脉损伤,血栓形成后继续向上发展,超过颈动脉分叉而致颈内动脉闭塞。因此颈段闭塞的部位以颈动脉分叉上1~3cm处最多,约占70%。②上述各种外力可以造成颈动脉内膜撕裂剥脱,撕裂剥脱的血管内膜在血流冲击下卷曲形成游离瓣或形成血块,或因其下出血形成血肿,引起管腔狭窄而致血栓形成,后者在动脉硬化时更易发生。③颈部钝伤、刺伤或交通事故引起血液经撕裂的颈动脉(通常为颈动脉颅外段)内膜进入血管壁间,导致动脉管腔狭窄或闭塞称外伤性颈动脉夹层,有些女性患者的发病与家庭暴力有关。外伤性颈动脉夹层处的血管内膜可以有破损也可以没有破损,两者均可导致动脉内膜下血肿,使内弹力板与中层分离,导致管腔狭窄引起脑梗死。外伤性颈动脉夹层的血管内膜破损处也可以继发血栓形成。④Jacques等认为,任何对血管的机械性刺激均可引起内膜细胞电荷变化,吸附血小板,促使血栓形成。躯体的某些潜在因素,也常可促使本病发生,如动脉粥样硬化、外伤后血压过低、颈部或咽部炎症以及脑萎缩等。咽、颈部炎症可使颈部粘连固定,受外力作用时无伸缩余地,脑萎缩时则因颅内血管失去支持,均易受到过度牵拉的损伤。
临床表现
外伤性颈动脉血栓形成引起管腔狭窄或闭塞,最终将导致脑梗死。它的形成发展需要一个过程,需狭窄到一定程度才能影响供血。除非颈动脉内膜破口处形成大的血栓或剥脱的内膜较大,造成急性闭塞,一般脑缺血的症状和体征在伤后出现较晚。本病多发生在外伤后数小时至数天,偶有在伤后数月至一年发病者。也有统计资料显示10%的颈动脉外伤性脑梗死患者在伤后1小时后出现症状,17%的患者24小时后才出现症状。
外伤性颈动脉血栓致脑梗死的临床表现无特异性。有头、颈部外伤史,伤后有或无意识障碍,数小时或数天后再次出现剧烈头痛、呕吐、偏瘫、失语、肢体麻木、眩晕、颅神经麻痹,甚至突发昏迷,部分患者病情发展缓慢,或仅表现短暂性脑缺血发作,大动脉闭塞病情进展急骤,危及生命。外伤性颈动脉血栓致脑梗死的临床表现主要取决于:①血管损伤的程度;②继发血栓的范围;③血栓栓塞的部位及时间;④侧支循环建立的状况。据称只有6%的患者在住院时被想到颈动脉损伤的可能。
辅助检查和诊断
颈内动脉夹层的辅助检查方法有:CT、CTA、MRI、MRA、颈部血管二维超声、TCD以及DSA。
医生应该详细询问病史及明确受伤方式,对于存在颈部损伤者(如扼伤、挥鞭样损伤、极度侧屈或旋转扭伤、颈椎骨折)尤其要提高警惕,当患者伤后病情逐渐加重或表现出脑缺血症状时,应及时复查CT或MRI,合并颈部损伤者一旦出现短暂性脑缺血发作(TIA),要先行颈部血管二维超声、TCD,必要时行MRI、CTA或MRA、DSA检查以查明原因。
值得一提的是超声技术在外伤性颈动脉内膜损伤诊断中的应用价值。CTA、MRA甚至DSA仅能见到血管外形与闭塞,观察血管内膜损伤与血栓影像不如超声清晰、简捷,而且颈部二维超声的检查为无创、经济、简单、易于操作并可反复进行。外伤所致新鲜血栓超声特征为稍低回声,附着在剥脱内膜下方,在屏幕上可观察到随血流搏动、被冲击欲坠影像,而动脉粥样硬化斑块为强回声可作为鉴别要点。颈部超声可探及变细的颈内动脉及动脉壁间的血肿,甚至可探及在血流冲击下漂浮的动脉内膜瓣。TCD检查对监测颈动脉夹层(carotid artery dissection,CAD)患者颅内动脉的血流动力学改变有较大价值,可以鉴别血栓栓塞与CAD所致血流动力学性脑缺血。
MRI检查在常规颈部横断面T1加权像和T2加权像上MRI可清楚显示血管壁的断面,夹层表现为动脉壁的新月形高信号,敏感性和特异性分别为84%和99%。MRI薄层(比如3mm)颈部横断位扫描可以帮助鉴别外伤性颈动脉血栓处内膜下是否有小的壁间血肿,即是否合并有小的颈动脉夹层。
治疗
各种治疗的目的在于恢复颈内动脉的血流,减轻或防止脑组织缺血,防止血栓脱落造成脑梗死。①抗凝和溶栓治疗:对颈动脉内膜损伤继发血栓而导致急性脑梗死主要采取抗凝和溶栓治疗。目的是预防栓塞继续发展,促使闭塞血管再通,防止栓子蔓延和发展,挽救缺血区的脑细胞。Prabhu等报道,应在梗死后6小时内进行抗凝和溶栓治疗,最好进行超选择性经导管动脉内的溶栓治疗。②手术治疗:冯友贤报道动脉血栓形成后3~5日或1周取血栓效果好,因为血栓与血管内膜尚未形成粘连或机化。对于颈内动脉闭塞患者,主张早期(12~24小时)行血栓剥除术,以谋求血管再通,但术后仍要继续抗凝治疗。③对颈动脉夹层继发血栓的患者要积极进行抗凝治疗以预防血栓形成,常用低分子肝素钠。对有抗凝禁忌的患者,可选择阿司匹林或氯吡格雷抗血小板聚集治疗。④经股动脉支架置入血管成形术可以重建颈动脉管腔,恢复对脑组织的供血,同时可以覆盖受损的颈内动脉内膜,防止血栓形成及壁间血肿形成所造成的颈内动脉狭窄。其适用于发病急性期、血流动力学稳定及药物治疗禁忌的颈动脉夹层患者。
该患者根据病史结合颅脑CT、头颈部CTA、颈部血管二维超声等辅助检查诊断外伤性颈动脉血栓栓塞性脑梗死明确,遗憾的是没有行颈椎薄层MRI检查,不能除外那种很难发现的只是内膜损伤,壁间血肿很小的动脉夹层。建议今后如果有类似病例及时做颈椎薄层MRI检查以明确诊断,指导治疗。