患者男,46岁,主因“突发左下肢无力伴头晕8日”于2010年7月6日收住入院。患者2010年6月28日疲劳后突发左下肢无力,行走略显不稳,伴明显头晕感,无视物旋转、恶心、呕吐,无言语不清,无耳鸣、听力减退,无吞咽困难、饮水呛咳等症状,就诊于土耳其某医院,当日发病后8小时行MRI检查诊断为“脑梗死”,当时测左侧肱动脉血压为212/120mmHg,给予口服“倍他乐克、苯磺酸氨氯地平、甲磺酸多沙唑嗪、吲达帕胺、莫普洛尔、阿托伐他汀、氯吡格雷”等药物治疗,具体用药方法和剂量不详。治疗后左下肢无力、头晕等症状有所缓解,但未完全恢复正常。2010年7月5日转诊至我院进一步治疗。
既往史
高血压史5年;2型糖尿病史2年;均未规律服药治疗,未按时监测血压、血糖。无冠状动脉粥样硬化性心脏病、心房颤动、高血脂病史,无吸烟、饮酒史。父母均有高血压、糖尿病史。
入院查体
体温36.3℃,脉搏88次/分,右侧上肢血压215/118mmHg、左侧上肢血压209/115mmHg。心肺功能检查未见异常,颈部未闻及血管杂音。神经系统查体:神志清楚,言语流利,双侧瞳孔直径2.5mm,对光反射灵敏,双侧眼底视乳头淡红,边界清楚,动静脉比2∶3。左上肢肌力5级,左下肢肌力4级,肌张力正常,左侧偏身痛觉略减退;右侧上、下肢肌力5级,肌张力正常,共济运动、感觉功能正常。双侧Babinski征、Chaddock征阴性。采用美国国立卫生研究院卒中量表(NIHSS)评分为2分。
实验室检查
①血常规:红细胞2.93×1012/L、血红蛋白86g/L,提示中度贫血,血凝功能正常。②血生化:甘油三酯2.2mmol/L、总胆固醇5.2mmol/L、低密度脂蛋白胆固醇3.4mmol/L、高密度脂蛋白胆固醇1.0mmol/L,提示混合性高脂血症。③葡萄糖8.4mmol/L (空腹)、13.4mmol/L(餐后2小时)、糖化血红蛋白5.9%,符合糖尿病诊断标准。④尿素氮8.5mmol/L、肌酐158μmol/L,提示肾功能损害。⑤尿酸478μmol/L,提示高尿酸血症。⑥血β2微球蛋白3.01mg/L、24小时尿蛋白1.87g、尿微白蛋白310mg/L、24小时微白蛋白1054mg,提示肾小球、肾小管功能损伤。⑦血皮质醇8∶00Am:304μg/L;4∶00Pm:141μg/L,提示皮质醇增多,可疑肾上腺皮质腺瘤。24小时尿香草苦杏仁酸、血同型半胱氨酸、抗核抗体等自身免疫抗体全套、中性粒细胞胞浆抗体、ESR、类风湿因子、人免疫缺陷病毒、梅毒快速血浆反应素试验均正常。
影像学检查
发病后8小时土耳其当地医院颅脑MRI检查(2010年6月28日):双侧侧脑室旁白质、双侧丘脑、中脑、脑桥、延髓广泛异常信号,呈T1WI略低信号,T2WI和液体衰减反转恢复(FLAIR)序列高信号,弥散加权成像(DWI)呈等或略高信号,表观弥散系数(apparent diffusion coefficient,ADC)图高信号,提示可能为脱髓鞘病变或脑水肿;右侧基底节区、侧脑室旁急性梗死灶(图1)。

图1 发病后8小时MRI检查(2010年6月28日),双侧中脑对称性异常信号,右侧侧脑室旁椭圆形梗死灶
A.T2WI呈高信号(箭头);B.T1WI呈略低信号(箭头);C.DWI:C1呈等或略高信号(箭头),C2梗死灶呈高信号(箭头);D.ADC:D1呈高信号(箭头),D2梗死灶呈低信号(箭头)
1.发病后9日颅脑MRI检查(2010年7月7日)
双侧侧脑室旁白质、双侧丘脑、中脑、脑桥、延髓多发病变,脱髓鞘病变或脑水肿可能,较2010年6月28日表现明显好转;右侧基底节内囊后肢附近急性梗死灶;增强后病灶均无明显强化(图2)。

图2 发病后9日颅脑MRI检查(2010年7月7日)
A.T2WI横断位显示中脑病灶明显消散(箭头);B.DWI显示右侧基底节区高信号梗死灶(箭头);C.增强扫描显示各病灶无明显强化
2.胸片检查(2010年7月7日)
左心缘饱满,心尖向左下扩大,提示左心室增大。
3.心电图检查(2010年7月7日)
心率82次/分,窦性心律,节律整齐,无期前收缩,并提示左心室肥厚。
4.颈动脉超声检查(2010年7月8日)
左侧颈内动脉窦后壁见一等回声斑块,大小约7mm×6mm,边缘光滑,峰值流速54.8cm/s。右侧未见斑块形成。
5.头颈部计算机断层扫描血管成像(CTA)检查(2010年7月8日)
双侧颈内动脉、椎基底动脉系统未见明显动脉狭窄。
6.肾动脉超声检查(2010年7月8日)
双侧肾动脉血管形态结构正常,管腔内血流连续、频谱正常。
7.心脏彩色超声检查(2010年7月8日)
提示室间隔及左室壁增厚、主动脉增宽、左房扩大。
8.肾脏单光子发射断层扫描(emission computed tomography,ECT)检查(2010年7月9日)
右肾小球滤过率(glomerular filtration rate,GFR)25ml/min,左肾26ml/min(正常90~120ml/min),提示双肾GFR降低。
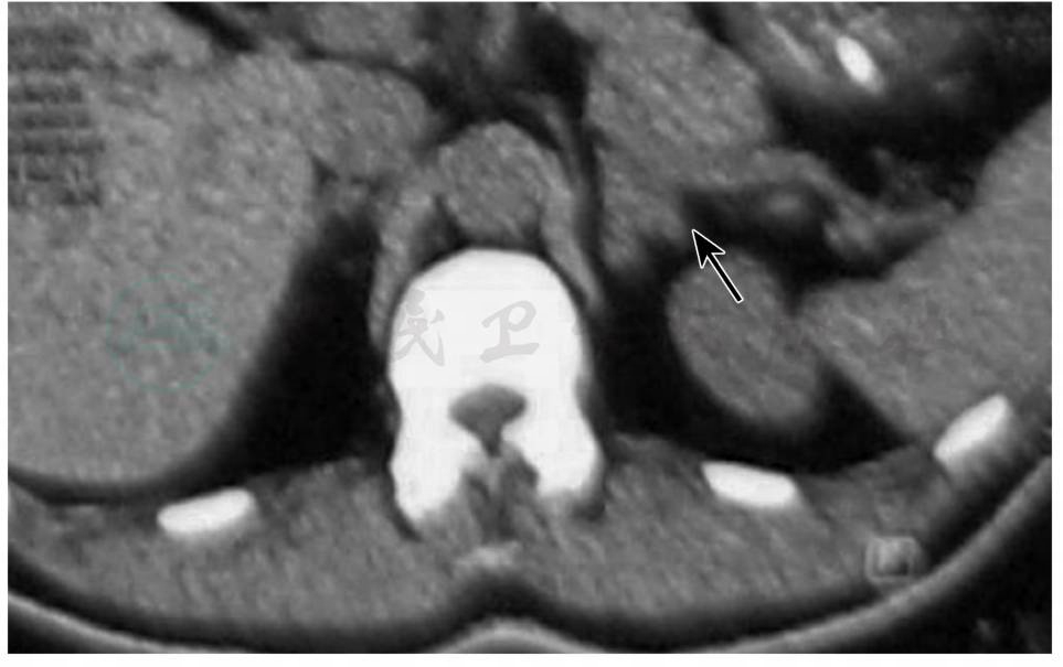
9.肾上腺CT检查(2010年7月10日)
左侧肾上腺分叶状占位,可能为腺瘤(图3)。

图3 肾上腺CT(2010年7月10日)检查:示左侧肾上腺分叶状占位,可能为腺瘤(箭头)
诊断
急性缺血性卒中,右侧基底节区急性梗死。
分型
根据中国卒中分型(CISS)归类于穿支动脉病。
病因
高血压、糖尿病致穿支动脉硬化可能。
发病机制
右侧大脑中动脉穿支动脉硬化闭塞。
病理生理分型及风险评估:非心房颤动缺血性卒中患者卒中复发的预测模型——Essen卒中风险评分量表(Essen stroke risk score,ESRS)评分3分,ABCD2评分6分,属于高危患者。
其他诊断
高血压性脑病、可逆性后部白质脑病综合征(posterior reversible leucoencephalopathy syndrome,PRLS)、继发性高血压、左侧肾上腺腺瘤可能性大、糖尿病、慢性肾脏病、高血压性心脏病、混合性高脂血症、肾性贫血。
治疗过程
入院后给予氯吡格雷(75mg,1次/日),阿托伐他汀(20mg,1次/日),先后给予硝酸甘油(20~30μg/min)和乌拉地尔(10~20mg/h)静脉微量泵入控制血压,后改为硝苯地平控释片(30mg,2次/日)、厄贝沙坦氢氯噻嗪片(150mg,2次/日)和比索洛尔(5mg,1次/日)联合降血压;生物合成人胰岛素注射液和精蛋白生物合成人胰岛素控制血糖治疗。2010年7月29日于泌尿外科行左侧肾上腺肿瘤切除术,术后病理证实为腺瘤。出院时患者左下肢肌力恢复至5级,NIHSS评分0分,无头晕、头痛。出院后患者长期应用氯吡格雷75mg/d、阿托伐他汀20mg/d、硝苯地平控释片30mg/d、生物合成人胰岛素注射液(早餐前16U,晚餐前10U皮下注射)治疗。随访至今患者血压、血糖、血脂水平控制达标,未再发生卒中事件。