患者男性,33岁,于2011年11月15日入院。
一、主诉
发热伴咳嗽、呼吸困难1个月。
二、病史询问
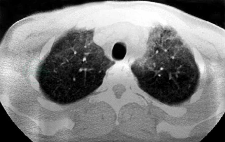
青年男性患者,农民,未婚,既往体健,否认呼吸系统疾病及其他慢性疾病史,无饲鸽、发霉物质接触史。1个月前受凉后出现发热,伴寒战,最高体温达40℃,呈稽留热,伴咳嗽、少许白痰,呼吸困难,活动后明显,无夜间憋醒,就诊于当地医院行胸部CT检查示:双肺对称的弥漫性分布的磨玻璃影(如图1、图2),予抗感染治疗,先后静脉滴注红霉素、头孢哌酮-舒巴坦半月余(具体用法用量不详),体温较前有所下降,但未降至正常,咳嗽、呼吸困难症状未见明显缓解,为求进一步诊治来诊。病来无胸痛、咯血,无腹痛、腹泻,无头痛,头晕,精神状态差,饮食睡眠差,二便可,近一月体重减轻约8kg。

图1 胸部CT

图2 胸部CT
三、临床分析
首次病史采集,按照常规问诊病史,但应注意以下细节详细询问协助明确诊断:患者既往体健,无呼吸系统疾病及其他慢性疾病史,此次发病主要症状为发热,伴有咳嗽、咳少许白痰、呼吸困难,按照常见病优先考虑原则应将呼吸道感染性疾病放在首位,但此次发病经过半个月的抗感染治疗,症状未见明显的缓解,那么原因有以下几种可能:①特殊的病原体感染,如结核、病毒及真菌等,普通抗生素治疗无效,可围绕以上特殊病原体感染的诱因、伴发症状进行询问;②先前使用的抗生素剂量不足,或者患者出现新的并发症如脓胸、脑炎等;③非感染性疾病,该患者病程中始终存在呼吸困难,气促、活动后加重,结合胸部CT示双肺对称的弥漫性分布的磨玻璃影,符合间质性肺疾病特点,考虑过敏性肺炎?淋巴细胞间质性肺炎?肺泡蛋白沉积症?在之后的查体、检查和治疗中,应该始终考虑以上几种原因,以更好的明确诊断。
四、体格检查
病史采集后重点考虑呼吸系统感染及间质性肺疾病的可能性较大,因此在对患者进行全面、系统的检查同时,重点注意准确监测体温和检查肺部体征,尤其注意有无存在干湿啰音,有无肺实变体征,有无Velcro啰音,四肢末端及口唇是否发绀,有无杵状指等。
体格检查:体温38.9℃,脉搏98次/分,呼吸26次/分,血压115/70mmHg。神清,急性病面容,呼吸急促,自主体位,消瘦,口唇发绀,全身皮肤无黄染、皮疹及出血点,巩膜无黄染,头颈部及锁骨下、腋下等浅表淋巴结未及肿大,气管居中,可见三凹征,胸廓对称无畸形,双侧呼吸运动一致,叩诊清音,双肺听诊呼吸音粗,双下肺可闻及较高调水泡音,心率98次/分,律齐,各瓣膜听诊区未闻及病理性杂音,腹平软,无压痛反跳痛,肝脾肋下未及,无杵状指,四肢及神经系统检查未见异常体征。
评价:体格检查结果与问诊后初步考虑肺部感染性疾病和间质性肺疾病的思路吻合,体温升高,口唇发绀,呼吸急促,三凹征,双肺听诊呼吸音粗,双下肺可闻及较高调水泡音,进一步行实验室和相关物理检查明确病原体,尤其是可以造成双肺间质性改变的病原体,为治疗提供依据,排除其他疾病。
五、实验室和影像学检查
(一)初步检查内容及目的
1.血常规:进一步证实是否为感染性疾病。
2.血清支原体、衣原体、抗酸杆菌、军团菌、病毒抗体及真菌抗原检测:明确病原菌。
3.痰菌涂片、痰培养:明确病原菌。
4.痰查结核菌及痰查瘤细胞:明确病原菌以及评估是否存在肺部恶性肿瘤。
5.动脉血气分析:明确病变严重程度。
6.血细菌培养及药敏:明确病原体及指导治疗。
7.肺HRCT检查:明确肺部病变特点及进展。
(二)检查结果及临床分析
1.血常规:白细胞计数13.5×109/L,中性粒细胞百分比89.3%,嗜酸性粒细胞1.78%,血红蛋白89.0g/L,血小板正常。
2.血清支原体、衣原体、抗酸杆菌、军团菌抗体阴性,真菌抗原正常,巨细胞病毒抗体阳性。
3.痰菌涂片三次均可见G+球菌及菌丝孢子。
4.痰查结核菌及痰查瘤细胞三次均为阴性。
5.动脉血气分析(未吸氧):pH 7.475,PaO2 59.5mmHg,PaCO2 30.5mmHg。
6.胸部HRCT:双肺多发磨玻璃影(如图3、图4)。

图3 胸部HRCT

图4 胸部HRCT
1.血白细胞计数、中性粒细胞百分比均增高,痰涂片三次均可见G+球菌及菌丝孢子,均支持病原菌感染造成肺间质性炎症。
2.肺部HRCT结果为弥漫性肺间质性改变,常见于巨细胞病毒性肺炎、过敏性肺炎、淋巴细胞间质性肺炎、肺泡蛋白沉积症等,但①患者无过敏原接触史,血常规嗜酸性粒细胞正常,且过敏性肺炎发热少见,胸部CT多可见边缘模糊的小叶中央结节,此病例不符,可以除外过敏性肺炎;②淋巴细胞间质性肺炎胸部CT多可见弥漫性磨玻璃影伴薄壁囊腔、小叶中央结节,淋巴结增大,此病例不符,暂不考虑淋巴细胞间质性肺炎;③肺泡蛋白沉积症症状隐匿,高热和中毒缺氧不常见,且胸部HRCT为磨玻璃影合并小叶间隔增厚(碎石路征),此病例不符,暂不考虑肺泡蛋白沉积症。目前不除外巨细胞病毒性肺炎。
3.动脉血气分析提示Ⅰ型呼吸衰竭,过度通气;结合血常规、痰病原学检查及胸部CT弥漫性磨玻璃影表现,进一步支持病原菌感染造成肺间质性炎症的诊断思路,目前病原菌尚不明确,且患者目前状态差,Ⅰ型呼吸衰竭,当前重要的是选择合适的药物进行经验性抗感染治疗,改善患者一般状态。



