患者男性,55岁,于2012年4月8日入院。
一、主诉
阵发性喘息30余年,加重伴咳嗽、咳黄痰20余天。
二、病史询问
患者于30年前无明显诱因出现喘息,咳嗽、咳痰,多为白色泡沫样,偶有黄痰,曾在当地医院诊治,诊断为“支气管哮喘”,之后上述症状反复发作,自行口服或静脉滴注抗生素、激素及平喘药(具体药名和剂量不详)后好转即停药,未系统治疗。本次发病前在河沙场现场工作,未感受凉和不适。病初干咳,时有轻度活动后气短,未介意。一周后逐渐出现咳嗽伴咳黄色黏痰,量多,不易咳出,入院前两天出现痰中带血,呼吸困难加重,端坐呼吸,伴大汗,有发热,体温最高可达39.5℃,于当地医院诊治,给予抗感染(先后应用阿莫西林-舒巴坦、头孢哌酮-舒巴坦钠、亚胺培南、利奈唑胺,具体用量、疗程不详)、平喘(茶碱、甲泼尼龙、布地奈德雾化吸入等)等治疗15天后,上述症状缓解不明显,且日趋加重遂转入我院。既往:高血压病史8年,血压最高达210/110mmHg,口服拜新同、美托洛尔等,血压控制尚可;患者为个体商人,从事河沙的生意10余年。否认吸烟及酗酒史。家族史无特殊记载。
三、体格检查
体温38.5℃,呼吸30次/分,脉搏140次/分,血压177/120mmHg。神志清楚,急性病容,端坐位,呼吸困难明显。颜面、口唇及指端发绀,气管居中,无三凹征。胸廓对称,双侧呼吸运动对称,节律规整,双肺语颤稍减弱,肺肝界位于右侧锁骨中线第7肋间,双肺叩诊呈过清音,双肺部听诊可闻及广泛干湿性啰音,未闻及胸膜摩擦音。心界不大,心率140次/分,律整,未闻及奔马律和各瓣膜区杂音。腹部、四肢、神经等系统检查未见异常。
四、实验室和影像学检查
1.血常规(2012年3月28日):白细胞计数22.4×109/L,中性粒细胞百分比90.2%,淋巴细胞百分比2.8%,单核细胞百分比7%,红细胞计数4.97×1012/L,血红蛋白160g/L,血小板计数250×109/L。血常规(2012年4月5日):白细胞计数16.0×109/L,中性粒细胞百分比84.4%,淋巴细胞百分比8.7%,血小板计数340×109/L。
2.血清支原体、衣原体、军团菌、病毒抗体检查(2012年3月28日):阴性。
3.痰菌培养(2012年3月29日,2012年3月30日):未见细菌、真菌生长。
4.动脉血气分析(2012年3月28日)(中流量吸氧状态下):pH 7.36,PaCO2 44mmHg,PaO2 63mmHg,HCO3- 24.9mmol/L,BE 0.9mmol/L。
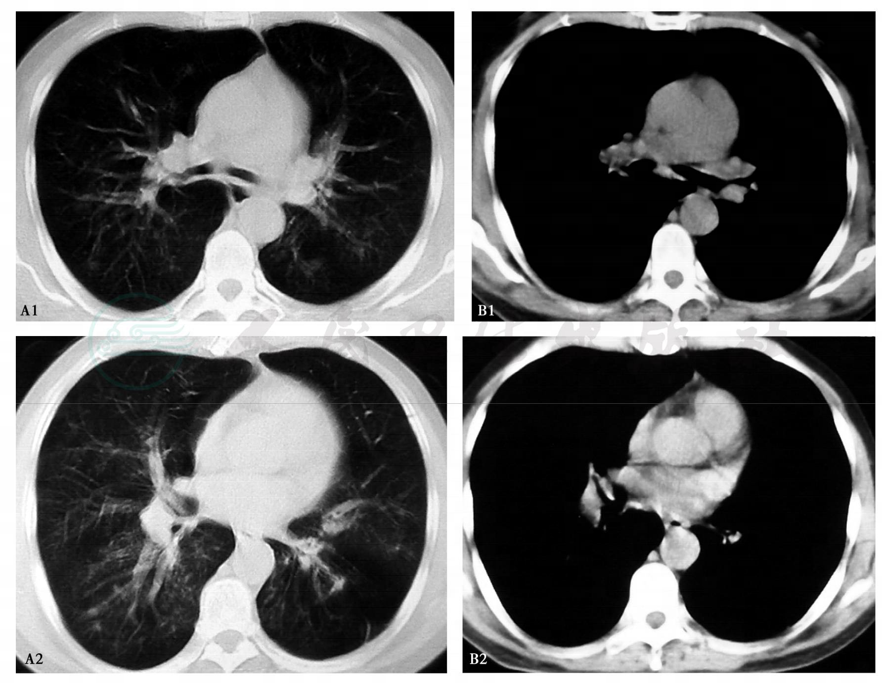
5.胸部影像学:胸部CT(2012年3月26日):双肺纹理增多紊乱,散在斑片状高密度影(图1 A肺窗,B纵隔窗)。胸部CT(2012年4月6日):双肺中心性支气管扩张,双肺散在斑片状密度增高影,部分可见空洞,左肺部分含气不均(图2 A肺窗,B纵隔窗)。

图1 胸部CT(2012年3月26日)
A肺窗,B纵隔窗

图2 胸部CT(2012年4月6日)
A肺窗,B纵隔窗
6.DIC初筛试验(2012年3月28日):D-二聚体3.10μg/ml(0~1.5μg/ml)。
7.免疫常规(2012年3月28日):未见异常。
8.肺功能检查:重度喘息,无法配合肺功能检查;人血总IgE(+),过敏原检测报告:屋尘(+),鲑鱼、鲈鱼、鲤鱼(+)。
五、临床分析
患者既往支气管哮喘、高血压病病史,本次发病先为干咳,后出现黄痰、痰中带血、呼吸困难加重并伴发热,双肺听诊可闻及广泛干、湿啰音,颜面、口唇及指端发绀,结合胸部CT的双肺改变和实验室现有检查结果,在当地医院曾临床诊断为支气管哮喘急性发作(重度)合并肺炎、Ⅰ型呼吸衰竭,高血压病3级(极高危险组)。虽然给予积极抗感染药物、解痉止喘、改善通气进行治疗,但经过调整抗生素及激素剂量,治疗效果仍不理想,呼吸困难持续加重和高热,同时影像学进展迅速。
患者应用多种抗生素、糖皮质激素治疗15天,疗效不佳,需考虑以下几个问题:①是否存在心功能不全。患者有明确高血压病史,乏氧明显,血压居高不下,心脏后负荷增加,故呼吸困难不缓解可能与急性心功能不全有关,应积极给予氧疗、无创通气等治疗,同时给予降压、扩血管治疗,必要时可给予强心、利尿治疗。并进行心脏彩超、BNP等相关检查以明确;②是否存在肺栓塞。患者存在呼吸困难、痰中带血,外院实验室检查中D-二聚体3.10μg/ml,应复查D-二聚体,必要时进行肺动脉CTA;③是否存在难治性哮喘。激素抵抗,其他诱因未去除;④是否存在真菌感染。患者基础病为支气管哮喘,既往长期不合理不规范应用抗生素及糖皮质激素,且患者发病前有河沙接触,河沙中含有细菌、真菌等,当地医院对于此问题未予深究,而这恰恰是患者的一个重要的基础免疫状态和宿主因素、外界因素,尤其应警惕真菌感染,应进行真菌感染方面的相关筛查,如G试验、GM试验、支气管镜等;⑤是否存在泛耐药院内感染。患者于当地医院治疗15天,不排除泛耐药院内感染,应进行痰培养;⑥是否存在结核感染。抗感染治疗15天,疗效不佳,不排除结核感染,应进行T-SPOT.TB、支气管镜检查。
六、入院后补充辅助检查
1.G试验(2012年4月9日):阴性。T-SOPT.TB(2012年4月9日):阴性。DIC初筛试验(2012年4月9日):D-二聚体3.90μg/ml,纤维蛋白(原)降解产物6.9mg/L。
2.痰菌培养(2012年4月9日,2012年4月10日):未见细菌、真菌生长。
3.血清抗曲霉特异性IgE抗体(2012年4月9日):(+);血清总IgE浓度增高1100ng/ml。
4.心血管系统检查:心电图(2012年4月9日):窦性心动过速,心电轴右偏,P波高尖。心脏彩超(2012年4月9日):EF 53%,左室舒张功能早期减低,主动脉瓣少量反流,二尖瓣少量反流。BNP(2012年4月9日):85.0pg/ml。
5.支气管镜检查(2012年4月9日):镜下见气管隆嵴锐利,左下叶基底段支气管可见肉芽肿生长,其余肺各叶、段、亚段支气管通畅,气管及左右肺各支气管可见多处黏膜坏死(图3)。
6.支气管镜病理回报(2012年4月11日):(右主支气管、左上叶、左下叶)支气管黏膜慢性炎症,有鳞状上皮化生及增生,伴有坏死,坏死组织内见大量真菌菌团(形态考虑为曲霉菌)(图4 HE×200)。

图3 支气管镜检查(2012年4月9日)

图4 支气管镜病理回报(2012年4月11日)



