患者女性,60岁,于2012年01月29日入院。
一、主诉
确诊隐源性机化性肺炎7个月,气短再发1个月余。
二、病史询问
(一)初步诊断思路及问诊目的
患者为中老年女性,7个月前我科诊断隐源性机化性肺炎(cryptogenic organizing pneumonia,COP)并口服激素(醋酸泼尼松,起始剂量每日30mg)治疗5个月,症状好转,治疗期间复查胸部CT提示双肺斑片影吸收。2个月前患者停激素后未复查胸部CT,1个月前再次出现活动后气短,按常规思路考虑原发病复发可能性大,因此,问诊目的主要围绕COP的主要症状特点及伴随症状等问题展开,兼顾重要鉴别诊断(尤其是结缔组织疾病)的临床表现。
(二)问诊主要内容及目的
1.确诊COP出院后是否继续激素治疗,具体减量过程及停药情况。
7个月前诊断COP,了解治疗过程有助于判断COP诊断和治疗情况,再次气短出现是否存在药物使用不当,或自行减量、停药现象,寻找是否存在COP复发原因。
2.激素治疗过程中是否规律复查胸部CT。
了解治疗过程中是否规律复查胸部CT有助于充分评估疾病发生、发展以及转归情况,同时可以和本次胸部CT比较,评估是否为原发病复发或其他疾病的可能。
3.入院前是否应用药物治疗?效果如何?
通过了解患者入院前的诊治经过及疗效,可缩小诊断范围。
4.既往有何种疾病,近7个月(尤其近1个月)是否出现新的伴随症状?
了解患者既往有何疾病,是否出现新的伴随症状,如关节肿痛、皮疹、光过敏等,有助于发现引起气短的原因。因为间质性肺疾病中第一大类——已知原因的间质性肺疾病,其中结缔组织疾病相关间质性肺疾病是最常见的重要因素之一,部分患者可首先表现为间质性肺疾病,以后逐渐出现结缔组织疾病的临床表现或免疫指标的异常。
(三)问诊结果及临床分析
患者为中老年女性,7个月前因“反复发热伴活动后气短”、“双肺多发斑片状密度增高影”、“院外抗感染治疗无效”入我科诊治,入院后查体发现双肺背底部帛裂音,杵状指阴性,结合肺功能(轻度混合性肺通气功能障碍,肺弥散功能中度降低)和影像学特征(双肺多发斑片状密度增高影,内可见实变征象,部分病变呈游走性)以及纤维支气管镜检查结果(肺活检提示肺泡腔内肉芽组织增生,内可见成纤维细胞、肌成纤维细和松散的结缔组织)诊断COP,并口服激素(醋酸泼尼松,起始剂量30mg/d)治疗,症状好转,双肺斑片影吸收,逐渐减量,总疗程5个月,自行停药。1个月前再次出现活动后气短,轻咳,无发热及咳痰,无夜间阵发性呼吸困难,无皮疹、光过敏和关节肿痛,为进一步诊治入院。
通过问诊可明确,患者既往无肾脏疾病史,无高血压、冠心病及心脏瓣膜病史,无肝脏疾病,无结缔组织疾病病史。7个月前因“反复发热伴活动后气短”诊断为COP,2个月前自行停激素治疗,近1个月再次出现气短,首先考虑是否为COP复发。应在体格检查时重点注意肺部听诊是否存在帛裂音,并通过实验室检查及影像学检查寻找复发依据。
评价:通过病史询问及临床分析,初步形成诊断思路,但是我们也注意到一个细节与首次发病不同:患者本次发病无发热表现,仅有活动后气短。且该患者上次出院后规律门诊随诊至症状及影像学明显好转,这些均需我们在之后的临床分析中予以重视。
三、体格检查
(一)重点检查内容和目的
考虑患者COP复发可能,因此在对患者进行系统地、全面地检查同时,应重点注意准确测量体温和肺部体征,尤其是帛裂音。
(二)体格检查结果及临床分析
体温35.7℃,呼吸18次/分,心率80次/分,血压140/80mmHg。神志清楚,呼吸平稳,自主体位。全身浅表淋巴结无肿大,无肝掌及蜘蛛痣,口唇无发绀,气管居中,无三凹征。胸廓对称,双侧呼吸动度一致,双肺叩诊呈清音。双肺未闻及帛裂音及干湿啰音,心界不大,心率80次/分,律齐,各瓣膜区未闻及杂音。双下肢无水肿,杵状指阴性。腹部、四肢、神经等系统检查未见异常。
体格检查结果与问诊后初步考虑COP复发的思路略有偏差,呼吸平稳,双肺均未闻及帛裂音,体温正常。既往否认心脏病史,心脏检查未见异常,心源性呼吸困难依据不足。进一步行影像学检查的主要目的是明确病变部位,判断病情,行心脏彩超明确心功能情况,为治疗方案提供依据。
评价:病史仅提示气短,否认发热及咳黄痰,入院测体温正常,肺部体征无异常,无典型肺炎表现,同时原发病复发依据尚不充分,因此该患者诊断及鉴别诊断还需要借助于详细的实验室及影像学检查。
四、实验室和影像学检查
(一)初步检查内容及目的
1.检测血常规和病原学:寻找感染性疾病的依据。
2.免疫学指标检测:7月前化验提示补体成分C3 1610.0mg/L(790~1520mg/L),余免疫指标正常,需要复查进一步除外结缔组织病可能。
3.心脏彩超及腹部彩超:明确心脏及肾脏、肝脏有无疾病。
4.胸部影像学:明确诊断并了解病变部位和范围。
5.行肺功能及纤维支气管镜检查寻找原发病复发依据。
(二)检查结果及临床分析
第一次住院及门诊结果如下。
1.血常规(2011年4月24日):白细胞计数9.27×109/L,中性粒细胞百分比75.6%。
2.血常规(2011年6月14日):白细胞计数4.5×109/L,中性粒细胞百分比64.3%,淋巴细胞百分比24%,血红蛋白127g/L,血小板计数292×109/L。
3.血气分析(2011年6月21日):pH 7.433,PCO2 40.4mmHg,PO2 75.1mmHg。
4.血沉77mm/h,C-反应蛋白28.1mg/L,CEA 2.76ng/ml,Cyfra21-1 3.62ng/ml,NSE 12.85ng/ml。
5.结核菌抗体(TB-Ab)阴性。
6.免疫学指标:补体成分C3 1615.0mg/L(790~1520mg/L)升高,余值正常。
7.胸部CT(2011年6月1日):双肺多发斑片状密度增高影,以下肺、周围为主,内有支气管充气征(图1A肺窗、B纵隔窗)。

图1 胸部CT(2011年6月1日)
8.肺功能:FEV1占预计值67%,FEV1/FVC 80%,RV/TLC 45%,TLC占预计值83%,DLco占预计值58%,MVV占预计值的81%。
9.纤维支气管镜检查:镜下示双侧各级支气管黏膜略充血,无黏脓性分泌物,各管腔正常,于右下背段行肺活检,刷擦涂片,结果未查到细菌、真菌及抗酸杆菌,TB-PCR阴性,未查到肿瘤细胞,肺活检病理提示肺泡腔内肉芽组织增生,内可见成纤维细胞、肌成纤维细胞和松散的结缔组织,伴散在淋巴细胞,未见中性粒细胞(图2 HE×40)。

图2 纤维支气管镜检查
HE×40
首次入院时,患者已经于外院抗感染治疗(具体不详)15天,疗效不佳,故入院后未应用抗生素,进一步完善相关检查(约10天)后再次复查胸部CT(2011年6月23日):双肺可见多发斑片状、条索状密度增高影,部分病灶可见支气管充气征(图3A肺窗、B纵隔窗)。

图3 复查胸部CT(2011年6月23日)
A肺窗、B纵隔窗
患者第一次出院诊断:COP,予口服激素(醋酸泼尼松,起始剂量30mg/d)治疗,病情逐渐好转,醋酸泼尼松规律减量,于2011年8月31日复查胸部CT病变基本吸收(图4A肺窗、B纵隔窗)。

图4 2011年8月31日复查胸部CT
A肺窗、B纵隔窗
第二次住院(2012年1月29日)结果如下。
1.血常规:白细胞计数6.08×109/L,中性粒细胞百分比62.7%,淋巴细胞百分比27%,嗜酸性粒细胞百分比3.1%,血红蛋白124g/L,血小板计数229×109/L。
2.尿常规:尿白细胞(-),尿蛋白(-),尿潜血(-)。
3.肾功能:肌酐(Cr)51μmol/L
4.肝功能:丙氨酸氨基转移酶17IU/L、天门冬氨酸氨基转移酶17IU/L、白蛋白36.5g/L。
5.血沉26mm/h,C-反应蛋白9.96mg/L。
6.CEA 1.72ng/ml,Cyfra21-1 1.66ng/ml,NSE 13.15ng/ml、AFP 2.48IU/ml。
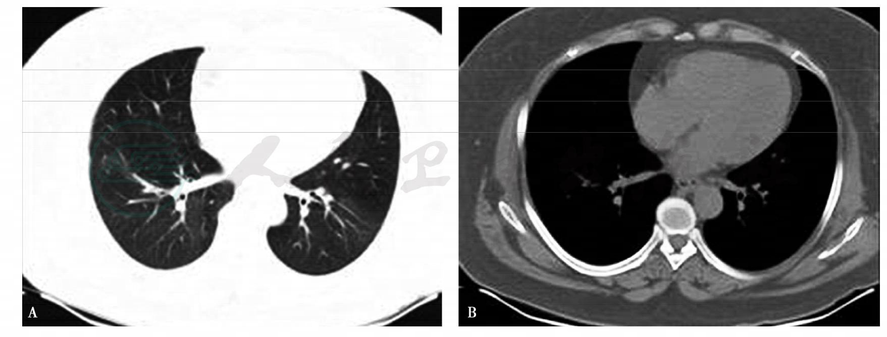
7.胸部CT(2012年1月30日)示:右肺上叶尖后段片状密度不均匀渗出影,部分与胸膜相连,边界不清(图5A肺窗、B纵隔窗)。

图5 胸部CT(2012年1月30日)
A肺窗、B纵隔窗
8.心电图:正常。心脏彩超:心内结构未见异常,左室收缩功能正常。
9.腹部彩超提示胆囊壁增厚,肝、脾、胰、双肾、双输尿管、膀胱未见明显异常。
结合患者气短再发和影像学新出现双肺多发片状密度增高影,临床诊断社区获得性肺炎。但患者无咳嗽、咳痰,无发热,血白细胞及中性粒细胞正常,病变部位以肺尖为主,需要进一步与肺结核鉴别。另外需注意原发病复发可能,继续寻找复发依据。完善纤维支气管镜检查明确诊断。并选择合理抗感染药物治疗社区获得性肺炎,观察治疗效果。



