患者男性,28岁,于2011年10月8日入院。
一、主诉
发热、咳嗽、进行性呼吸困难1个月,加重伴黑便1周。
二、病史询问
(一)初步诊断思路及问诊目的
患者28岁,男性,近期有发热、咳嗽、呼吸困难症状,首先把呼吸道感染性疾病作为第一要考虑的诊断,但如何考虑黑便—消化道症状的出现?因此,问诊应该注意感染相关原因、发病时主要症状及特点、伴随症状、用药经过及效果如何等问题,并且兼顾重要鉴别疾病的临床表现,以寻找符合两个系统同时受累的感染性疾病表现的证据。
(二)问诊主要内容及目的
1.发病前是否有遇冷、接触感染患者、感冒或醉酒史?
入秋时节,气温转低,可能出现病毒感染;下呼吸道感染或肺炎患者常有一定的诱发因素;醉酒后的误吸可导致吸入性肺炎。
2.咳嗽是否伴有咳痰?是否咳黄痰?
如伴随咳嗽逐渐出现黄痰及脓性痰则是感染的重要依据。
3.刚发病时是否测了体温?是否用了感冒药物?
明确发病时体温情况及药物应用后效果。
4.入院前是否应用了药物?什么药物?效果如何?
通过了解院外应用药物的情况及是否有效,判断感染致病菌的可能性,并进一步分析下一步药物的选择等问题。
5.既往有何种疾病,是否有呼吸系统、消化道系统症状?
某些慢性呼吸系统疾病可能通过感染急性起病,加重呼吸系统症状。本患者有呼吸困难症状,要注意既往是否患支气管哮喘;患者发热,抗生素治疗效果不佳,注意询问结核中毒症状;后期发热,又出现消化道出血,是并发症还是疾病累及两个系统。
6.询问呼吸困难是否有平卧加重或夜间平卧时憋醒的表现,既往是否患有心肌炎及先天性心脏病病史,以鉴别心源性呼吸困难。
7.何种职业?接触史及长期服药史?
很多呼吸系统疾病与职业及化学物质接触相关,如石棉肺、鸽子肺、过敏性肺泡炎等。
8.流行病学史
注意当时当地的流感流行情况,有无甲流、禽流感、SARS等呼吸系统传染病,注意菌痢、斑疹伤寒、霍乱、暴发型肝炎、寄生虫等消化道疾病。
(三)问诊结果及临床分析
患者为年轻男性,无固定工作,曾到过新疆打工,现为一家食品类超市的理货员,否认既往有慢性呼吸系统疾病及消化系统症状,否认心脏病史。无醉酒误吸史,无明确家畜、生禽类接触史。患者最初因着凉开始发热,咳嗽,咳少量白痰,乏力,略消瘦,无盗汗。诊疗过程:规律静脉滴注头孢类抗生素(具体不详)及口服阿奇霉素,未见好转,且发热持续不退(37.8~38.5℃),咳嗽加重,且出现进行性呼吸困难,乏力,食欲差,恶心,伴黑色柏油便。
问诊的结果符合呼吸系统感染性疾病的特点,进一步需要仔细的肺部查体,注意肺部听诊是否存在啰音,并通过实验室检查,细菌学及影像学检查寻找感染的病原学证据。能否单纯用感染性疾病解释进行性呼吸困难?主要考虑是感染的伴随症状。
评价:问诊是为诊断寻找下一步辅助检查提供线索,并为鉴别诊断提供依据。从患者症状进展和治疗效果看,存在的疑点:如果考虑社区获得性肺炎,为什么规律应用头孢类药物及大环内酯类药物后症状不改善,并且呼吸困难进行性加重,是常见病原菌感染还是非典型病原菌或非感染性疾病?同时要鉴别特殊病原体感染如SARS、禽流感、新型甲流病毒、急性传染病(必须追问流行病学史),继发性肺结核,结缔组织疾病,血液系统疾病,恶性肿瘤等。
三、体格检查
(一)重点检查内容和目的
考虑患者呼吸系统感染的可能性最大,对患者进行全面检查,应重点注意准确测量体温和肺部体征,尤其是啰音。啰音是否分布在双肺底、有无帛裂音、有无干啰音及吸气相-呼气相等亦应格外注意。
(二)体格检查结果及临床分析
体温38.3℃,脉搏90次/分,呼吸23次/分,血压130/70mmHg。神志清楚,步入病房,呼吸急促,被迫坐位。双瞳孔等大等圆,口唇发绀,气管居中,颈部浅表淋巴结未触及,无三凹征。胸廓对称,双侧呼吸运动一致,双肺叩诊呈清音。双肺听诊多处可闻及哮鸣音及少许水泡音。心界不大,心音纯,律齐,未闻及奔马律和各瓣膜区杂音。腹软,剑突下无压痛,肝脾未触及,移动浊音阴性。四肢、神经等系统检查未见异常。
体格检查结果与问诊后初步考虑呼吸系统感染的思路相吻合。体温38.2℃,双肺干鸣音表明气道内可能有分泌物或炎症所致狭窄。心脏检查未见异常,不支持心源性疾病;腹部查体腹软无压痛,无包块,暂不支持消化道溃疡及胃肠部肿瘤;无杵状指等长期缺氧的体征;无大小关节变形及结节性红斑等风湿免疫疾病改变。进一步实验室和影像学检查的主要目的是明确病变部位、病原学,判断病情及鉴别诊断,同时为制订治疗方案提供依据。
评价:体格检查“听诊双肺多处哮鸣音,少许水泡音”,符合肺部感染的体征。患者年龄轻,临床症状重,但肺部体征相对轻,外院抗感染治疗效果不佳,这又不完全符合一般肺炎的发生发展。是否我们在病史采集时漏掉了重要临床信息,导致诊断有误,影像学将会为我们提供哪些信息呢?
四、实验室和影像学检查
(一)初步检查内容及目的
1.血常规、C-反应蛋白、血沉:进一步证实感染性疾病。
2.血清支原体、军团菌、病毒抗体检查:明确病原。
3.痰菌涂片、痰菌培养:明确病原。
4.动脉血气分析:评价病情。
5.胸部影像学:明确诊断并了解病变部位和范围。
(二)检查结果及临床分析
1.血常规:白细胞计数8.79×109/L,中性粒细胞百分比46.6%,淋巴细胞百分比44.6%,单核细胞百分比8.5%,红细胞计数5.14×1012/L,血红蛋白145g/L,血小板计数287×109/L。
2.C-反应蛋白:54.26mg/L,血沉:58mm/h。
3.痰涂片(Giemsa染色):疑似囊样结构。
4.痰菌培养:三次均未见霉菌生长,正常菌群生长。
5.便常规:便潜血(+)。
6.动脉血气分析(未吸氧状态):pH 7.42,PaO2 49mmHg,PaCO2 32mmHg。
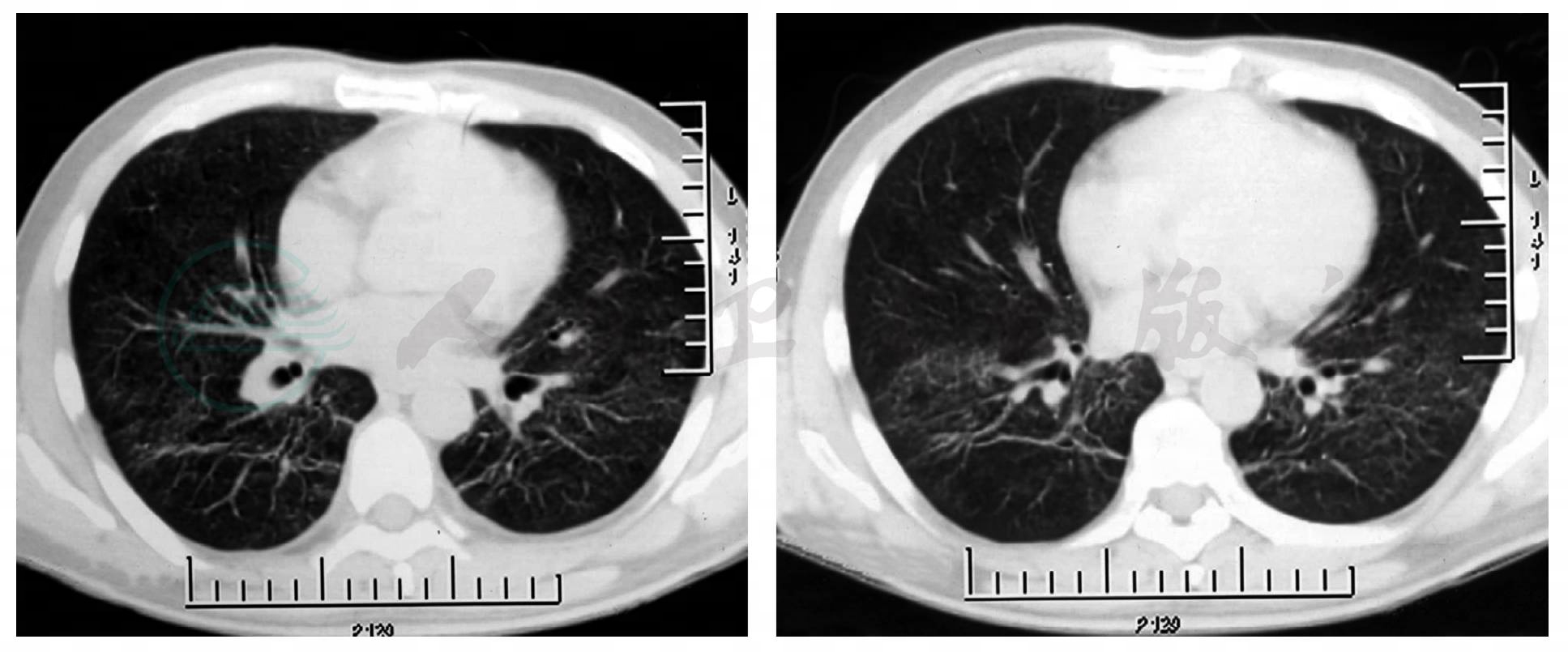
7.胸部影像学:胸部CT示双肺点状高密度影,磨玻璃样改变(图1)。

图 1 胸部影像学
重要的检查结果有两项:①静脉血淋巴细胞百分比增高,CRP、ESR增高;②胸部影像学示双肺多发浸润影;结合患者的病史和体格检查结果,进一步支持感染性疾病——社区获得性肺炎(community acquired pneumonia,CAP)的诊断,但目前病原学尚不明确。



