男性患者,24岁,于2009年12月27日入院。
一、主诉
咳嗽、咳痰,发热5天。
二、病史询问
(一)初步诊断思路及问诊目的
青年男性患者,新近出现的寒战、发热,体温最高达39.4℃,伴有呼吸道症状,咳嗽、咳黄痰,按发热常见原因考虑为呼吸系统感染性疾病。因此,问诊目的主要围绕呼吸系统感染性疾病的诱因(原因)、发病时主要症状及特点、伴随症状,是否曾抗感染治疗及效果如何等问题展开,并兼顾重要鉴别疾病的临床表现,以寻找符合感染性疾病表现的证据。
(二)问诊主要内容及目的
1.发病前是否有明确的诱发因素?
青壮年肺炎患者常有一定的诱发因素,如淋雨、受凉、醉酒后的误吸可导致吸入性肺炎。肺脓肿患者可急性高热起病,病程中出现大量脓臭痰,伴有咯血,往往有龋齿、醉酒、吸毒史。
2.咳嗽是否伴有咳痰,痰的性状、颜色、量、气味?
下呼吸道感染应了解咳痰的性状、颜色、量、气味,为明确诊断及病原学判断提供重要依据。痰的性质可分为黏液性、浆液性、脓性和血性等,脓性痰见于化脓性细菌性下呼吸道感染;血性痰是由于呼吸道黏膜受侵害,损害毛细血管或血液渗入肺泡所致。
3.发病时的体温,是否有寒战,热型及药物治疗后体温的变化,发热间隔时间?
感染性发热往往有寒战,不同的热型有助于某些发热疾病的鉴别。药物的疗效,可以通过发热持续时间及间隔时间的长短得到体现。
4.入院前是否应用了抗生素?药物名称、剂量、时间及效果?
明确使用过的药物名称、剂量、时间和疗效。通过了解院外抗感染治疗的情况来考虑治疗是否有效,为经验用药提供依据。
5.既往有何种疾病,是否有呼吸系统症状?
既往是否有肺结核、慢性呼吸系统基础病、麻疹等。该患者有大量黄痰,要注意是否有误吸等因素。此次有咳痰带血,注意可与出现咯血的疾病鉴别,如支气管扩张、结核、肺炎、肺脓肿、寄生虫病、肺真菌病、金黄色葡萄球菌、军团菌肺炎;其他心血管疾病如肺栓塞、肺血管炎;血液病如再生障碍性贫血;传染病如流行性出血热;风湿性疾病如Wegener肉芽肿,结节性多动脉炎。
6.何种职业及生活、饮食、起居习惯?
诸多呼吸系统疾病与职业相关,特殊病原体如曲霉菌感染可见于拆迁工人、农民;饲养鸽子者易患隐球菌感染;某些患者有吸毒史,可引起特殊病原体感染如金黄色葡萄球菌、结核、肺孢子菌病;居住在空调屋或办公室、自驾车内空调及不洁饮用水可引起军团菌感染。
(三)问诊结果及临床分析
患者为酸奶生产工,既往身体健康,无呼吸系统疾病。于5天前受凉后出现寒战、发热,体温最高达39.4℃,伴咳嗽,咳大量黄痰,量约100ml/d,无异味,自觉头痛、四肢酸痛、乏力,无胸痛及胸闷气短,口服“布洛芬”及止咳药物(具体不详)症状未见好转,仍持续发热。于入院1天前出现痰中带血、腹泻,排水样便,每日10次左右,无腹痛,无恶心、呕吐,无反酸、嗳气,就诊当地医院,胸部X线提示“肺炎”,予“吉他霉素静脉滴注、地塞米松静脉推注”(具体用量不详),仍有发热、咳嗽,为求进一步诊治入我科,病来无头晕,无声音嘶哑及吞咽困难,无呼吸困难,无盗汗,无尿频、尿急、尿痛。饮食睡眠可,二便正常,体重无明显变化。
通过问诊可明确,患者既往无呼吸系统疾病,本次发病寒战、发热,后出现咳大量黄痰,符合感染性疾病的特点,应在体格检查时重点注意肺部听诊是否存在啰音,并通过实验室检查和影像学检查寻找感染的证据。咳痰带血同时伴有腹泻,提示是否合并有特殊病原体如军团菌感染。
评价:这是初次病史采集,着重急性起病,病情进展迅速,发热伴咳嗽及大量脓痰,痰中带血及伴有头痛、腹泻等症状,追问了患者是否使用空调、桶装饮水、是否集体生活等,只考虑到非典型病原体感染的可能而忽视了真菌感染可能。因患者没有任何免疫功能妥协因素,虽然病史中有咳痰带血,在起病初期并没有考虑真菌感染可能。对于酸奶生产的工作环境没有深入了解,没有了解患者暴露的职业环境、强度和程度,对于后来的病原学分析产生了偏差。
三、体格检查
(一)重点检查内容和目的
考虑患者呼吸系统感染的可能性最大,因此在对患者进行系统地、全面地检查同时,应重点注意准确测量体温和肺部体征,尤其是啰音。同时,病人有消化道症状,需对腹部查体格外注意。
(二)体格检查结果及临床分析
体温39.0℃;呼吸20次/分;脉搏102次/分;血压90/60mmHg。神清语明,查体合作,皮肤及巩膜无黄染,无出血点,结膜无充血及水肿,口唇无发绀,咽后壁充血,浅表淋巴结未触及,双肺呼吸音粗,右肺呼吸音弱,可闻及少许湿啰音。心界不大,心率102次/分,心音纯,律齐,各瓣膜区未闻及杂音。腹软,无压痛、反跳痛,肝脾肋下未及。双下肢无水肿。四肢、神经等系统检查未见异常。
体格检查结果与问诊后初步考虑呼吸系统感染的思路相吻合。体温39.0℃,肺部湿啰音提示有感染,腹部查体无阳性体征。进一步实验室和影像学检查的主要目的是明确病变部位、范围及可能的病原学,并进行病情评估,为治疗方案提供依据。
评价:病史中患者寒战、高热,咳黄痰及咳痰带血,结合病人无免疫妥协宿主因素,因此考虑社区获得性肺炎常见病原体感染及非典型病原体军团菌感染。是否存在特殊病原体感染需要实验室的证据明确,但因职业环境没有得到重视,因而忽视了真菌抗原的相关检查。
四、实验室和影像学检查
(一)初步检查内容及目的
1.血常规、C-反应蛋白、血沉、脂多糖:进一步证实感染性疾病。
2.血清支原体、军团菌、病毒抗体检查:明确病原。
3.痰菌涂片、痰菌培养:明确病原。
4.动脉血气分析:评价病情。
5.胸部影像学:明确诊断并了解病变部位和范围。
(二)检查结果及临床分析(2009年12月28日,入院24小时后)
1.血常规:白细胞计数4.77×109/L,中性粒细胞百分比86.7%,红细胞计数4.48×1012/L,血红蛋白140g/L,血小板143×109/L。C-反应蛋白、血沉:正常范围。脂多糖:<1pg/ml(0~10pg/ml)。
2.痰菌培养:待3天后出结果。急查痰涂片:革兰阴性杆菌。便常规:黄色,稀便,白细胞2~3个/HF,便球杆比例2∶8。
3.动脉血气分析(吸氧浓度29%):pH 7.422,PaO2 64.7mmHg,PaCO2 31.0mmHg,HCO3- 19.2mmol/L,BE -4.5mmol/L,PaO2/FiO2 223.1mmHg。
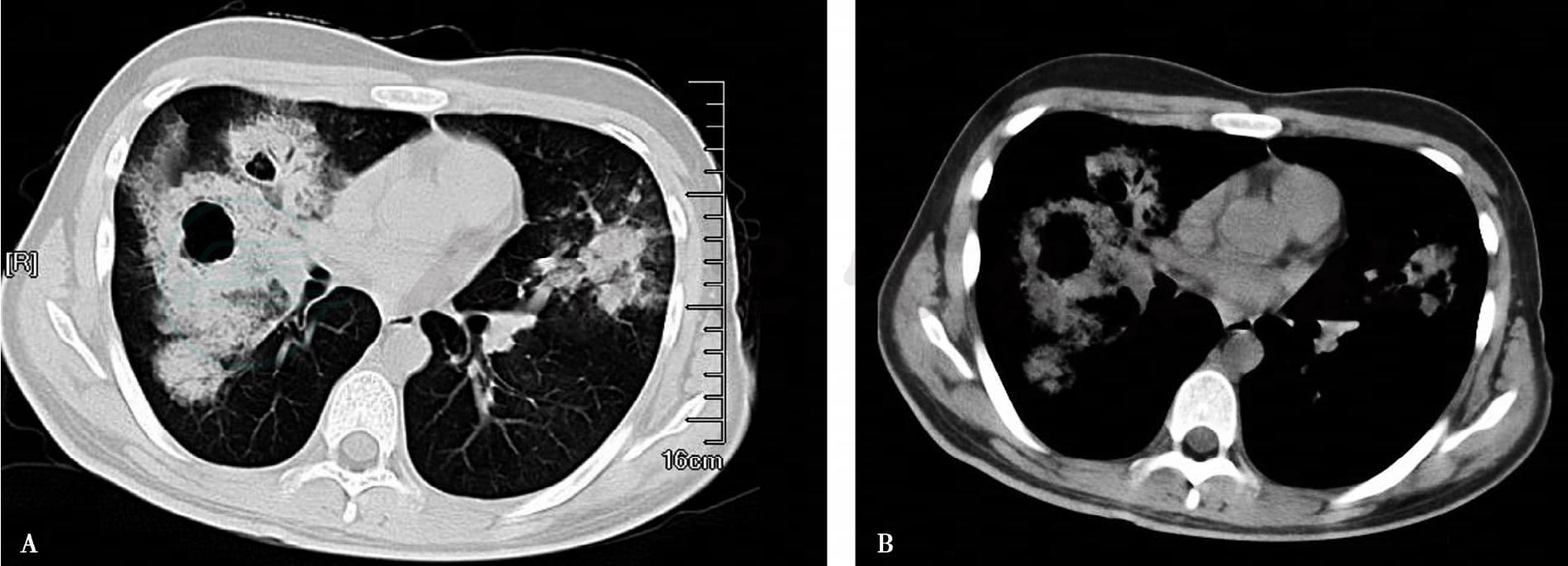
4.胸部CT(2009年12月28日,图1):右肺中叶及下叶内基底段可见大面积阴影,有多发空洞,部分密度较高,右肺下叶后外侧可见多发囊性空洞,左侧舌段高密度影。

图1 2009年12月28日胸部CT
重要的检查结果有五项:①末梢血白细胞总数正常、中性粒细胞百分比有增高;②胸部影像学示双肺多发浸润影伴有多发空洞;③动脉血氧分压降低;④便常规白细胞略增高,便球杆比正常;⑤痰涂片提示革兰阴性杆菌。结合患者的病史和体格检查结果,进一步支持感染性疾病——社区获得性肺炎(community acquired pneumonia,CAP)的诊断,目前病原学考虑革兰阴性杆菌感染可能性大。患者发病以来曾自行服用过吉他霉素等药,考虑可能因未能覆盖病原体,故未能奏效。动脉血氧分压降低和多发浸润影说明炎症已累及多肺叶并已影响到气体交换,因此患者有胸闷、低氧血症。进一步的处理应立即选择合适的抗感染药物进行治疗,其目的有二:①治疗感染;②通过治疗明确或修正诊断。



